Defining the clinical, molecular and imaging spectrum of adaptor protein complex 4-associated hereditary spastic paraplegia
- PMID: 32979048
- PMCID: PMC7780481
- DOI: 10.1093/brain/awz307
Defining the clinical, molecular and imaging spectrum of adaptor protein complex 4-associated hereditary spastic paraplegia
Erratum in
-
Corrigendum to: Defining the clinical, molecular and imaging spectrum of adaptor protein complex 4-associated hereditary spastic.Brain. 2021 Apr 12;144(3):e33. doi: 10.1093/brain/awaa424. Brain. 2021. PMID: 33294911 Free PMC article. No abstract available.
Abstract
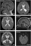
Bi-allelic loss-of-function variants in genes that encode subunits of the adaptor protein complex 4 (AP-4) lead to prototypical yet poorly understood forms of childhood-onset and complex hereditary spastic paraplegia: SPG47 (AP4B1), SPG50 (AP4M1), SPG51 (AP4E1) and SPG52 (AP4S1). Here, we report a detailed cross-sectional analysis of clinical, imaging and molecular data of 156 patients from 101 families. Enrolled patients were of diverse ethnic backgrounds and covered a wide age range (1.0-49.3 years). While the mean age at symptom onset was 0.8 ± 0.6 years [standard deviation (SD), range 0.2-5.0], the mean age at diagnosis was 10.2 ± 8.5 years (SD, range 0.1-46.3). We define a set of core features: early-onset developmental delay with delayed motor milestones and significant speech delay (50% non-verbal); intellectual disability in the moderate to severe range; mild hypotonia in infancy followed by spastic diplegia (mean age: 8.4 ± 5.1 years, SD) and later tetraplegia (mean age: 16.1 ± 9.8 years, SD); postnatal microcephaly (83%); foot deformities (69%); and epilepsy (66%) that is intractable in a subset. At last follow-up, 36% ambulated with assistance (mean age: 8.9 ± 6.4 years, SD) and 54% were wheelchair-dependent (mean age: 13.4 ± 9.8 years, SD). Episodes of stereotypic laughing, possibly consistent with a pseudobulbar affect, were found in 56% of patients. Key features on neuroimaging include a thin corpus callosum (90%), ventriculomegaly (65%) often with colpocephaly, and periventricular white-matter signal abnormalities (68%). Iron deposition and polymicrogyria were found in a subset of patients. AP4B1-associated SPG47 and AP4M1-associated SPG50 accounted for the majority of cases. About two-thirds of patients were born to consanguineous parents, and 82% carried homozygous variants. Over 70 unique variants were present, the majority of which are frameshift or nonsense mutations. To track disease progression across the age spectrum, we defined the relationship between disease severity as measured by several rating scales and disease duration. We found that the presence of epilepsy, which manifested before the age of 3 years in the majority of patients, was associated with worse motor outcomes. Exploring genotype-phenotype correlations, we found that disease severity and major phenotypes were equally distributed among the four subtypes, establishing that SPG47, SPG50, SPG51 and SPG52 share a common phenotype, an 'AP-4 deficiency syndrome'. By delineating the core clinical, imaging, and molecular features of AP-4-associated hereditary spastic paraplegia across the age spectrum our results will facilitate early diagnosis, enable counselling and anticipatory guidance of affected families and help define endpoints for future interventional trials.
Keywords: SPG47; SPG50; SPG51; SPG52; neurodegeneration.
© The Author(s) (2020). Published by Oxford University Press on behalf of the Guarantors of Brain. All rights reserved. For permissions, please email: journals.permissions@oup.com.
Figures





Comment in
-
Clinical and pathogenic themes in hereditary spastic paraplegia.Brain. 2020 Oct 1;143(10):2864-2866. doi: 10.1093/brain/awaa278. Brain. 2020. PMID: 33103731 No abstract available.
References
-
- Accogli A, Hamdan FF, Poulin C, Nassif C, Rouleau GA, Michaud JL, et al.A novel homozygous AP4B1 mutation in two brothers with AP-4 deficiency syndrome and ocular anomalies. Am J Med Genet A 2018; 176: 985–91. - PubMed
-
- Aguilar RC, Boehm M, Gorshkova I, Crouch RJ, Tomita K, Saito T, et al.Signal-binding specificity of the mu4 subunit of the adaptor protein complex AP-4. J Biol Chem 2001; 276: 13145–52. - PubMed
-
- Appleton RE, Gupta R. Cerebral palsy: not always what it seems. Arch Dis Child 2019; 104: 809–14. - PubMed
-
- Bax M, Tydeman C, Flodmark O. Clinical and MRI correlates of cerebral palsy: the European Cerebral Palsy Study. JAMA 2006; 296: 1602–8. - PubMed
Publication types
MeSH terms
Substances
Grants and funding
LinkOut - more resources
Full Text Sources
Other Literature Sources
Medical