Extra-CNS metastasis of glioblastoma multiforme to cervical lymph nodes and parotid gland: A case report
- PMID: 32983474
- PMCID: PMC7495837
- DOI: 10.1002/ccr3.2985
Extra-CNS metastasis of glioblastoma multiforme to cervical lymph nodes and parotid gland: A case report
Abstract
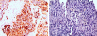
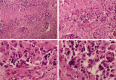
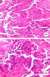
Extra CNS metastasis of glioblastoma multiforme is extremely rare. We report a case of a 53-year-old Caucasian male who, after undergoing surgical resection and nine months adjuvant therapy, had a recurrence of the cancer with an infiltration expanding outside the cranium to the left maxilla, mandible and parotid gland.
Keywords: extra‐CNS metastasis; glioblastoma; lymph node metastasis; neurosurgery; parotid gland metastasis.
© 2020 The Authors. Clinical Case Reports published by John Wiley & Sons Ltd.
Conflict of interest statement
We declare no competing interests.
Figures
References
-
- Louis DN, Ohgaki H, Wiestler OD, Cavenee WK. WHO Classification of Tumours of the Central Nervous System, Revised (4th edn). WHO, WHO Press, Geneva, Switzerland: WHO ‐ OMS. Fourth. IARC; 2016. http://apps.who.int/bookorders/anglais/detart1.jsp?codlan=1&codcol=70&co...
Publication types
LinkOut - more resources
Full Text Sources
