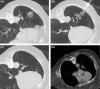
Iatrogenic air embolism
- PMID: 32983516
- PMCID: PMC7495862
- DOI: 10.1002/ccr3.3007
Iatrogenic air embolism
Abstract
Air embolism should be treated promptly with high fraction of supplemental oxygen and repositioning to help facilitate reabsorption of the air bubble. Hyperbaric oxygen therapy should be given to those with severe disease.
Keywords: air embolism; biopsy; critical care; hyperbaric oxygen.
© 2020 The Authors. Clinical Case Reports published by John Wiley & Sons Ltd.
Conflict of interest statement
There are no conflicts of interest.
Figures
References
LinkOut - more resources
Full Text Sources
