Skip to main page content
U.S. flag

An official website of the United States government

Dot gov

The .gov means it’s official.
Federal government websites often end in .gov or .mil. Before sharing sensitive information, make sure you’re on a federal government site.

Https

The site is secure.
The https:// ensures that you are connecting to the official website and that any information you provide is encrypted and transmitted securely.

Access keys NCBI Homepage MyNCBI Homepage Main Content Main Navigation
. 2020 Apr 6;1(3):302-303.
doi: 10.1002/emp2.12052. eCollection 2020 Jun.

Man with altered mental status

Affiliations

Man with altered mental status

Thomas Edward Blair et al. J Am Coll Emerg Physicians Open. .
No abstract available

PubMed Disclaimer

Figures

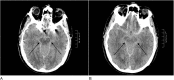
FIGURE 1
FIGURE 1
(A and B) CT brain with axial view demonstrating hyperdense gadolinium contrast in the basal cisterns extending into the Sylvian fissure

References

    1. Marder CP, Narla V, Fink JR, Tozer Fink KR. Subarachnoid hemorrhage: beyond aneurysms. AJR Am J Roentgenol. 2014;202(1):25‐37. - PubMed
    1. Camacho MA, Druck J, Musi M. Subarachnoid mirage: a case of pseudosubarachnoid hemorrhage. Ann Emerg Med. 73(2):130‐132. - PubMed
    1. Mortimer R, Bano C, Howlett DC. An unusual appearance on cranial computed tomography. BMJ. 2017;357:j2760. - PubMed
    1. Provenzano DA, Pellis Z, DeRiggi L. Fatal gadolinium‐induced encephalopathy following accidental intrathecal administration: a case report and a comprehensive evidence‐based review. Reg Anesth Pain Med. 2019;44:721‐729. - PubMed