Acute disseminated encephalomyelitis in a COVID-19 pediatric patient
- PMID: 33001220
- PMCID: PMC7527786
- DOI: 10.1007/s00234-020-02571-0
Acute disseminated encephalomyelitis in a COVID-19 pediatric patient
Abstract
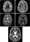
The authors present a case of acute disseminated encephalomyelitis in a COVID-19 pediatric patient with positive SARS-CoV2 markers from a nasopharyngeal swab. A previously healthy 12-year-old-girl presented with a skin rash, headache, and fever. Five days after that, she had an acute, progressive, bilateral, and symmetrical motor weakness. She evolved to respiratory failure. Magnetic resonance imaging (MRI) of the brain and cervical spine showed extensive bilateral and symmetric restricted diffusion involving the subcortical and deep white matter, a focal hyperintense T2/FLAIR lesion in the splenium of the corpus callosum with restricted diffusion, and extensive cervical myelopathy involving both white and gray matter. Follow-up examinations of the brain and spine were performed 30 days after the first MRI examination. The images of the brain demonstrated mild dilatation of the lateral ventricles and widespread widening of the cerebral sulci, complete resolution of the extensive white matter restricted diffusion, and complete resolution of the restricted diffusion in the lesion of the splenium of the corpus callosum, leaving behind a small gliotic focus. The follow-up examination of the spine demonstrated nearly complete resolution of the extensive signal changes in the spinal cord, leaving behind scattered signal changes in keeping with gliosis. She evolved with partial clinical and neurological improvement and was subsequently discharged.
Keywords: ADEM; Brain diseases; COVID-19; Central Nervous System; Child; Spinal cord diseases.
Conflict of interest statement
The authors declare that they have no conflict of interest.
Figures
References
Publication types
MeSH terms
LinkOut - more resources
Full Text Sources
Medical
Miscellaneous
