Distribution of the subtendons in the midportion of the Achilles tendon revealed in vivo on MRI
- PMID: 33004938
- PMCID: PMC7529808
- DOI: 10.1038/s41598-020-73345-0
Distribution of the subtendons in the midportion of the Achilles tendon revealed in vivo on MRI
Abstract
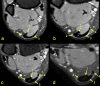
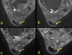
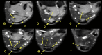
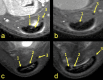
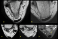
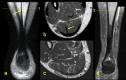
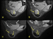
The aim of the study was to check if the subtendons of the Achilles tendon can be identified in vivo on MRI in the midportion of the tendon. The relation of the plantaris tendon to the Achilles tendon was also examined. A retrospective study of 200 MRI of ankle joints including the Achilles tendon was conducted. Statistical analysis of the correlation between the possibility of identifying the subtendons and the side, gender, presence of the central soleus tendon and plantaris tendon variation was performed. The inter-observer agreement between two reviewers in their evaluation of the subtendons was assessed using kappa statistics. The subtendon from the lateral head of the gastrocnemius muscle was identified in 65% (k = 0.63) and was located in the anterior part of the Achilles tendon. The subtendon from the soleus muscle was recognized in 12% (k = 0.75) comprising anterior part of the tendon. In 6% the subtendon from the medial head of the gastrocnemius muscle was identified (k = 0.58). The central soleus tendon was identified in 85% of cases. Statistical analysis shows the weak correlation of the presence of the central soleus tendon and the possibility of identifying the subtendon from the soleus muscle. The plantaris tendon was directly related to the insertion of the Achilles tendon in 42.5%. Identification of the subtendons of the Achilles tendon on MRI is challenging, and most often it is only possible to find the subtendon of the lateral head of the gastrocnemius muscle.
Conflict of interest statement
The authors declare no competing interests.
Figures
References
-
- Ganestam A, Kallemose T, Troelsen A, Barfod KW. Increasing incidence of acute Achilles tendon rupture and a noticeable decline in surgical treatment from 1994 to 2013. A nationwide registry study of 33,160 patients. Knee Surg. Sports Traumatol. Arthrosc. 2016;24:3730–3737. doi: 10.1007/s00167-015-3544-5. - DOI - PubMed
-
- Karlsson, J., Westin, O., Carmont, M. & Nilsson-Helander, K. in Sports Injuries of the Foot and Ankle Ch. Chapter 33, 369–376 (2019).
Publication types
MeSH terms
LinkOut - more resources
Full Text Sources
