The lingering manifestations of COVID-19 during and after convalescence: update on long-term pulmonary consequences of coronavirus disease 2019 (COVID-19)
- PMID: 33006087
- PMCID: PMC7529085
- DOI: 10.1007/s11547-020-01295-8
The lingering manifestations of COVID-19 during and after convalescence: update on long-term pulmonary consequences of coronavirus disease 2019 (COVID-19)
Abstract
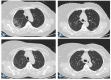
The long-term sequelae of coronavirus disease 2019 (COVID-19) are still unknown. Lessons from past viral epidemics reveal that, after recovery, patients with viral pulmonary infections can suffer from irreversible pulmonary dysfunction and demonstrate residual imaging or functional abnormalities. Residual ground glass opacities, consolidations, reticular and linear opacities, residual crazy paving pattern, melted sugar sign, and parenchymal fibrotic bands are several features found in the late or remission stages of COVID-19. These radiologic findings have been observed weeks after symptom onset, even after hospital discharge, and they may or may not correlate with clinical manifestations. High-resolution CT may be indicated to establish new baselines and track changes in residual impairments. In our previous review, we observed significant pulmonary sequelae in some COVID-19 survivors at follow-up. In this update, we review the current literature on the clinical and radiologic manifestations of post-recovery COVID-19 toward the end of hospital admission and after discharge.
Keywords: COVID-19; Co-morbidities; High-resolution CT; Recovery; SARS-CoV-2; Surveillance.
Conflict of interest statement
The authors declare that they have no conflict of interest.
Figures
References
Publication types
MeSH terms
LinkOut - more resources
Full Text Sources
Other Literature Sources
Medical
Miscellaneous
