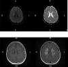
COVID-19-Associated Acute Multi-infarct Encephalopathy in an Asymptomatic CADASIL Patient
- PMID: 33025544
- PMCID: PMC7537964
- DOI: 10.1007/s12028-020-01119-7
COVID-19-Associated Acute Multi-infarct Encephalopathy in an Asymptomatic CADASIL Patient
Conflict of interest statement
The authors declare that they have no conflict of interest.
Figures



References
Publication types
MeSH terms
LinkOut - more resources
Full Text Sources
Medical