COVID-19 pneumonia in an infant with a hemodynamically significant ventricular septal defect
- PMID: 33040743
- PMCID: PMC7550878
- DOI: 10.1017/S1047951120003303
COVID-19 pneumonia in an infant with a hemodynamically significant ventricular septal defect
Abstract
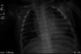
Reports thus far suggest a mild course for acute COVID-19 infection in children; however, its effects in vulnerable paediatric populations, including children with haemodynamically significant congenital heart disease, have rarely been reported. We therefore report on a 4-month-old Hispanic male with a moderate sized conoventricular ventricular septal defect and pulmonary overcirculation who presented with COVID-19-associated pneumonia.
Keywords: COVID-19; cardiomegaly; pneumonia; pulmonary overcirculation; ventricular septal defect.
Figures


References
Publication types
MeSH terms
LinkOut - more resources
Full Text Sources
Medical