Spontaneous pneumothorax as unusual presenting symptom of COVID-19 pneumonia: surgical management and pathological findings
- PMID: 33046088
- PMCID: PMC7549088
- DOI: 10.1186/s13019-020-01343-4
Spontaneous pneumothorax as unusual presenting symptom of COVID-19 pneumonia: surgical management and pathological findings
Abstract
Background: Spontaneous pneumothorax has been reported as a possibile complication of novel coronavirus associated pneumonia (COVID-19). We report two cases of COVID-19 patients who developed spontaeous and recurrent pneumothorax as a presenting symptom, treated with surgical procedure. An insight on pathological finding is given.
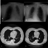
Case presentation: Two patients presented to our hospital with spontaneous pneumothorax associated with Sars-Cov2 infection onset. After initial conservative treatment with chest drain, both patients had a recurrence of pneumothorax during COVI-19 disease, contralateral (patient 1) or ipsilateral (patient 2) and therefore underwent lung surgery with thoracoscopy and bullectomy. Intraoperative findings of COVID-19 pneumonia were parenchymal atelectasis and vascular congestion. Lung tissue was very frail and prone to bleeding. Histological examination showed interstitial infiltration of lymphocytes and plasma cells, as seen in non specific interstitial pneumonia, together with myo-intimal thicknening of vessels with blood extravasation and microthrombi.
Conclusions: Although rarely, COVID-19 may present with spontaneous pneumothorax. Lung surgery for pneumothorax in COVID-19 patients can be safely and effectively performed when necessary.
Keywords: Bullectomy; COVID-19; Case report; Pathology; Pneumothorax; Thoracoscopy.
Conflict of interest statement
The authors have no conflict of interest to disclose.
Figures
References
-
- Giacomelli A, Pezzati L, Conti F, et al. Self-reported olfactory and taste disorders in SARS-CoV-2 patients: a cr.... Clin Infect Dis. 2020. 10.1093/cid/ciaa330. - PubMed
-
- Salehi S, Abedi A, Balakrishnan S, Gholamrezanezhad A. Coronavirus disease 2019 (COVID-19): a systematic review of imaging findings in 919 patients. Am J Roentgenol. 2020:1–7. - PubMed
Publication types
MeSH terms
LinkOut - more resources
Full Text Sources
Medical
Miscellaneous
