Recurrent infections, neurologic signs, low serum uric acid levels, and lymphopenia in childhood: Purine nucleoside phosphorylase deficiency, an emergency for infants
- PMID: 33061764
- PMCID: PMC7536453
- DOI: 10.14744/TurkPediatriArs.2019.83788
Recurrent infections, neurologic signs, low serum uric acid levels, and lymphopenia in childhood: Purine nucleoside phosphorylase deficiency, an emergency for infants
Abstract
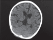
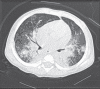
Purine nucleoside phosphorylase deficiency is one of the severe combined immunodeficiencies, which often clinically manifests with recurrent infections, neurologic symptoms and autoimmune diseases, and leads to thymocyte development and peripheral T cell activation defects. It is an immunologic emergency for childhood. In this case series, four cases with purine nucleoside phosphorylase deficiency were evaluated. Recurrent febrile infections and neuromotor developmental retardation were among the presenting symptoms in all cases. Absolute lymphocyte counts and serum uric acid levels were very low, and serum immunoglobulin levels were normal or slightly lower in all cases. The genetic molecular analysis of four patients revealed three predefined mutations in the purine nucleoside phosphorylase gene. Three of the four patients were lost due to sepsis during follow-up, and one patient was lost due to veno-occlusive disease in the post-hematopoietic stem cell transplantation period. We presented these cases to emphasize that purine nucleoside phosphorylase deficiency should always be considered in patients with frequent recurrent infections, neurologic findings, low serum uric acid levels, and lymphopenia.
Pürin nükleozid fosforilaz eksikliği genellikle klinik olarak tekrarlayan enfeksiyonlar, nörolojik semptomlar ve otoimmün hastalıklarla bulgu veren, timosit gelişimi ve periferal T hücre aktivasyon kusuruna yol açan, ağır kombine immün yetmezliklerden biridir ve çocukluk çağı için bir immünolojik acildir. Bu olgu serisinde Pürin nükleozid fosforilaz eksikliği olan dört olgu değerlendirildi. Olguların hepsinin başvuru yakınmaları arasında tekrarlayan ateşli enfeksiyonlar ve nöromotor gelişim geriliği vardı ve laboratuvar bulguları incelendiğinde; hepsinde mutlak lenfosit sayısı ve serum ürik asit düzeyi çok düşük seviyelerde, serum immunglobulin düzeyleri ise normal ya da hafif düşüktü. Dört hastanın yapılan genetik moleküler incelemesinde Pürin nükleozid fosforilaz geninde üç tane daha önceden tanımlı mutasyon saptandı. Dört hastanın üç tanesi izlemde septik tabloda, bir tanesi de hematopoetik kök hücre nakli sonrası dönemde veno-oklusiv hastalık nedeniyle kaybedildi. Çocuklarda sık yineleyen enfeksiyonlar, nörolojik bulgular, serum ürik asit düşüklüğü ve lenfopeni saptandığında Pürin nükleozid fosforilaz eksikliği tanısının mutlaka düşünülmesi gerektiğini vurgulamak amacıyla bu olgular sunulmuştur.
Keywords: Combined immunodeficiency; low serum uric acid levels; purine nucleoside phosphorylase deficiency.
Copyright: © 2020 Turkish Archives of Pediatrics.
Conflict of interest statement
Conflict of Interest: No conflict of interest was declared by the authors.
Figures



References
-
- Papinazath T, Min W, Sujiththa S, et al. Effects of purine nucleoside phosphorylase deficiency on thymocyte development. J Allergy Clin Immunol. 2011;128:854–63. - PubMed
-
- van Kuilenburg AB, Zoetekouw L, Meijer J, Kuijpers TW. Identification of purine nucleoside phosphorylase deficiency in dried blood spots by a non-radiochemical assay using reversed-phase high-performance liquid chromatography. Nucleosides Nucleotides Nucleic Acids. 2010;29:466–70. - PubMed
-
- Somech R, Lev A, Grisaru-Soen G, Shiran SI, Simon AJ, Grunebaum E. Purine nucleoside phosphorylase deficiency presenting as severe combined immune deficiency. Immunol Res. 2013;56:150–4. - PubMed
-
- Cooper DN, Krawczak M. The mutational spectrum of single base-pair substitutions causing human genetic disease:patterns and predictions. Hum Genet. 1990;85:55–74. - PubMed
-
- Ozkinay F, Pehlivan S, Onay H, et al. Purine nucleoside phosphorylase deficiency in a patient with spastic paraplegia and recurrent infections. J Child Neurol. 2007;22:741–3. - PubMed
Publication types
LinkOut - more resources
Full Text Sources