Changes in Gene Expression Associated with Collagen Regeneration and Remodeling of Extracellular Matrix after Percutaneous Electrolysis on Collagenase-Induced Achilles Tendinopathy in an Experimental Animal Model: A Pilot Study
- PMID: 33076550
- PMCID: PMC7602800
- DOI: 10.3390/jcm9103316
Changes in Gene Expression Associated with Collagen Regeneration and Remodeling of Extracellular Matrix after Percutaneous Electrolysis on Collagenase-Induced Achilles Tendinopathy in an Experimental Animal Model: A Pilot Study
Abstract
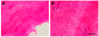
Percutaneous electrolysis is an emerging intervention proposed for the management of tendinopathies. Tendon pathology is characterized by a significant cell response to injury and gene expression. No study investigating changes in expression of those genes associated with collagen regeneration and remodeling of extracellular matrix has been conducted. The aim of this pilot study was to investigate gene expression changes after the application of percutaneous electrolysis on experimentally induced Achilles tendinopathy with collagenase injection in an animal model. Fifteen Sprague Dawley male rats were randomly divided into three different groups (no treatment vs. percutaneous electrolysis vs. needling). Achilles tendinopathy was experimentally induced with a single bolus of collagenase injection. Interventions consisted of 3 sessions (one per week) of percutaneous electrolysis or just needling. The rats were euthanized, and molecular expression of genes involved in tendon repair and remodeling, e.g., Cox2, Mmp2, Mmp9, Col1a1, Col3a1, Vegf and Scx, was examined at 28 days after injury. Histological tissue changes were determined with hematoxylin-eosin and safranin O analyses. The images of hematoxylin-eosin and Safranin O tissue images revealed that collagenase injection induced histological changes compatible with a tendinopathy. No further histological changes were observed after the application of percutaneous electrolysis or needling. A significant increase in molecular expression of Cox2, Mmp9 and Vegf genes was observed in Achilles tendons treated with percutaneous electrolysis to a greater extent than after just needling. The expression of Mmp2, Col1a1, Col3a1, or Scx genes also increased, but did not reach statistical significance. This animal study demonstrated that percutaneous electrolysis applied on an experimentally induced Achilles tendinopathy model could increase the expression of some genes associated with collagen regeneration and remodeling of extracellular matrix. The observed gene overexpression was higher with percutaneous electrolysis than with just needling.
Keywords: Achilles; gene expression; percutaneous electrolysis; tendinopathy.
Conflict of interest statement
The authors declare no conflict of interest.
Figures







References
LinkOut - more resources
Full Text Sources
Medical
Research Materials
Miscellaneous