Isthmin 2 is decreased in preeclampsia and highly expressed in choriocarcinoma
- PMID: 33088937
- PMCID: PMC7567920
- DOI: 10.1016/j.heliyon.2020.e05096
Isthmin 2 is decreased in preeclampsia and highly expressed in choriocarcinoma
Abstract
Introduction: Isthmin 2 (ISM2) is a protein which expression in humans is almost specific to the placenta. There is no previous report in the literature that investigated this protein in preeclampsia or choriocarcinoma.
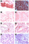
Methods: We conducted a prospective, cross-sectional study that included women with preeclampsia, gestational hypertension and normotensive pregnancy. We measured serum concentrations of ISM2 protein and performed immunohistochemistry in placenta tissues. We also performed immunohistochemistry of ISM2 in samples from choriocarcinoma and compare with lung, prostate, colon, gastric and breast cancers.
Results: A total of 81 patients were included, 30 with preeclampsia, 21 with gestational hypertension and 30 controls. The ISM2 protein was found to be decreased in patients with preeclampsia compared to the control group (P = 0.036). These results were confirmed by immunohistochemistry. We also found that ISM2 protein was overexpressed in choriocarcinoma.
Discussion: Taken together, our results suggest an angiogenic function for ISM2. Its serum level decreased in our patients with preeclampsia could be reflecting that it is involved in the pathogenesis of the disease; on the other hand its high expression in choriocarcinoma, indicates that ISM2 may play an active role in the angiogenesis of this and other cancers.
Keywords: Angiogenic protein; Biomarkers; Choriocarcinoma; Evidence-based medicine; ISM2; Laboratory medicine; Obstetrics and gynecology; Preeclampsia; Pregnancy; Reproductive system.
© 2020 The Author(s).
Figures



References
-
- Hutcheon J.A., Lisonkova S., Joseph K.S. Epidemiology of preeclampsia and the other hypertensive disorders of pregnancy. Best Pract. Res. Clin. Obstet. Gynaecol. 2011;25(4):391–403. - PubMed
-
- Duley L. Maternal mortality associated with hypertensive disorders of pregnancy in Africa, Asia, Latin America and the Caribbean. Br. J. Obstet. Gynaecol. 1992;99(7):547–553. - PubMed
-
- Khan K.S., Woydyla D., Say L., Gulmezoglu A.M., Van Look P.F. WHO analysis of causes of maternal death: a systematic review. Lancet. 2006;367(9516):1066–1074. - PubMed
-
- Duley L. The global impact of pre-eclampsia and eclampsia. Semin. Perinatol. 2009;33(3):130–137. - PubMed
LinkOut - more resources
Full Text Sources