Giant isolated hydatid lung cyst: two case reports
- PMID: 33097083
- PMCID: PMC7585214
- DOI: 10.1186/s13256-020-02524-4
Giant isolated hydatid lung cyst: two case reports
Abstract
Background: Echinococcosis is a parasitic disease caused by Echinococcus granulosus and causes cystic lesions in the liver and lungs commonly. It is endemic in many parts of the world, and though humans are incidental hosts of the parasite, the disease can have severe consequences.
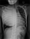
Case presentation: We present two patients from pastoralist (Maasai) communities in rural Tanzania with long-standing chest pain accompanied by hemoptysis. Both were managed surgically after diagnosis, but one patient died of the complications following rapture of the cyst during surgery. Histopathological evaluation of the specimens confirmed the diagnosis of giant hydatid cysts.
Conclusion: Animal-keeping communities such as the Maasai are at risk of echinococcosis because of their close proximity to animals. The diagnosis can be made on the basis of history and radiological as well as laboratory findings. Surgery is a recommended mode of treatment, though it carries a high risk, especially when the cyst ruptures. Primary preventive measures are thus necessary in order to avoid the secondary and tertiary complications of the management of giant hydatid cysts, which is difficult in resource-limited endemic areas.
Keywords: Echinococcus; Hydatid cyst; Pulmonary; Tanzania; Zoonoses.
Conflict of interest statement
The authors declare that they have no competing interests.
Figures






References
-
- Alam MT, Saber S, Alam RF, Hossain MM. Primary pulmonary hydatid disease. Bangladesh Crit Care J. 2018;6(2):105–107. doi: 10.3329/bccj.v6i2.38589. - DOI
-
- World Health Organization (WHO). Echinococcosis fact sheet. 23 Mar 2020. https://www.who.int/news-room/fact-sheets/detail/echinococcosis. Accessed 8 Apr 2020.
-
- Khan MB, Sonaimuthu P, Lau YL, Al-Mekhlafi HM, Mahmud R, Kavana N, Kassuku A, Kasanga C. High seroprevalence of echinococossis, schistosomiasis and toxoplasmosis among the populations in Babati and Monduli districts, Tanzania. Parasit Vectors. 2014;7:505. doi: 10.1186/s13071-014-0505-7. - DOI - PMC - PubMed
-
- World Health Organization (WHO). Echinococcosis: epidemiology. https://www.who.int/echinococcosis/epidemiology/en/. Accessed 8 Apr 2020.
Publication types
MeSH terms
LinkOut - more resources
Full Text Sources