Acute vasitis presenting as a concerning paratesticular mass in an adolescent, a case report
- PMID: 33102059
- PMCID: PMC7573966
- DOI: 10.1016/j.eucr.2020.101360
Acute vasitis presenting as a concerning paratesticular mass in an adolescent, a case report
Abstract
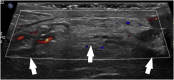
The differential diagnosis of scrotal pain and swelling in adolescent males includes testicular and appendage torsion, epididymitis, epididymo-orchitis, trauma and incarcerated hernia. Physical examination, ultrasound and urinalysis often can identify the etiology of the scrotal pain and swelling. We present a case of left scrotal pain and swelling that was initially concerning for a paratesticular mass. Repeat examination and further imaging during pre-operative assessment was consistent with left-sided vasitis. The diagnosis of vasitis is difficult with ultrasound and commonly requires CT or MRI to differentiate from incarcerated inguinal hernia. Recognition of this uncommonly reported condition may prevent unnecessary surgeries.
Keywords: Inguinal hernia; Paratesticular mass; Scrotal pain; Vasitis.
© 2020 The Authors.
Conflict of interest statement
None.
Figures
References
Publication types
LinkOut - more resources
Full Text Sources
