Central Sleep Apnea Syndrome Can Complicate Neuromyelitis Optica Spectrum Disorder: A Case Report
- PMID: 33102404
- PMCID: PMC7545357
- DOI: 10.3389/fped.2020.547474
Central Sleep Apnea Syndrome Can Complicate Neuromyelitis Optica Spectrum Disorder: A Case Report
Abstract
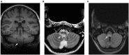
Neuromyelitis optica spectrum disorder is a rare, relapsing autoimmune disease of the central nervous system. Various initial presentations can delay diagnosis and treatment. A 14-year-old girl was admitted to the emergency department owing to respiratory insufficiency. Repeated history-taking and neuroimaging revealed an area postrema syndrome. A diagnosis of neuromyelitis optica spectrum disorder with positive aquaporin-4 antibodies has finally been established. The patient improved significantly with immunosuppressive therapy. However, her 3-year follow-up still showed sleep-disordered breathing requiring nocturnal bilevel positive airway pressure therapy. We report an original case of NMOSD leading to persistent central sleep apnea syndrome.
Keywords: area postrema syndrome; case report; central sleep apnea syndrome; children; neuromyelitis optica spectrum disorder; noninvasive ventilation; sleep-disordered breathing.
Copyright © 2020 Morelli, Aeby, Scaillet, Boitsios, Vens, Prigogine, Biarent and Vicinanza.
Figures



References
Publication types
LinkOut - more resources
Full Text Sources