Skip to main page content
U.S. flag

An official website of the United States government

Dot gov

The .gov means it’s official.
Federal government websites often end in .gov or .mil. Before sharing sensitive information, make sure you’re on a federal government site.

Https

The site is secure.
The https:// ensures that you are connecting to the official website and that any information you provide is encrypted and transmitted securely.

Access keys NCBI Homepage MyNCBI Homepage Main Content Main Navigation
Review
. 2020 Sep;152(3):185-226.
doi: 10.4103/ijmr.IJMR_902_20.

Epidemiology, diagnosis & treatment of non-tuberculous mycobacterial diseases

Affiliations
Review

Epidemiology, diagnosis & treatment of non-tuberculous mycobacterial diseases

Surendra K Sharma et al. Indian J Med Res. 2020 Sep.

Abstract

Non-tuberculous mycobacteria (NTM) are ubiquitously present in the environment, but NTM diseases occur infrequently. NTM are generally considered to be less virulent than Mycobacterium tuberculosis, however, these organisms can cause diseases in both immunocompromised and immunocompetent hosts. As compared to tuberculosis, person-to-person transmission does not occur except with M. abscessus NTM species among cystic fibrosis patients. Lung is the most commonly involved organ, and the NTM-pulmonary disease (NTM-PD) occurs frequently in patients with pre-existing lung disease. NTM may also present as localized disease involving extrapulmonary sites such as lymph nodes, skin and soft tissues and rarely bones. Disseminated NTM disease is rare and occurs in individuals with congenital or acquired immune defects such as HIV/AIDS. Rapid molecular tests are now available for confirmation of NTM diagnosis at species and subspecies level. Drug susceptibility testing (DST) is not routinely done except in non-responsive disease due to slowly growing mycobacteria ( M. avium complex, M. kansasii) or infection due to rapidly growing mycobacteria, especially M. abscessus. While the decision to treat the patients with NTM-PD is made carefully, the treatment is given for 12 months after sputum culture conversion. Additional measures include pulmonary rehabilitation and correction of malnutrition. Treatment response in NTM-PD is variable and depends on isolated NTM species and severity of the underlying PD. Surgery is reserved for patients with localized disease with good pulmonary functions. Future research should focus on the development and validation of non-culture-based rapid diagnostic tests for early diagnosis and discovery of newer drugs with greater efficacy and lesser toxicity than the available ones.

Keywords: Diagnosis; NTM; NTM extrapulmonary disease; non-tuberculous mycobacteria pulmonary disease; treatment.

PubMed Disclaimer

Conflict of interest statement

None

Figures

Fig. 1
Fig. 1
Host defence mechanisms against non-tuberculous mycobacteria (NTM). Defects leading to disseminated NTM infection are shown in red. ISG15, interferon-stimulated gene 15; IFNGR, interferon-gamma receptor; TYK, tyrosine kinase; JAK, Janus kinase; STAT, signal transducer and activator of transcription; IRF, interferon regulatory factor; GATA, transcription factor implicated in early haemopoietic, lymphatic, and vascular development; NEMO, nuclear factor kappa-light-chain-enhancer of activated B cells essential modulator; IL, interleukin; TNF, tumour necrosis factor; TLR, toll-like receptors. Source: Reproduced with permission from Ref. .
Fig. 2
Fig. 2
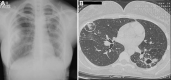
(A) Chest radiograph in a 62 yr old female with asthma, allergic bronchopulmonary aspergillosis and bronchiectasis. Mycobacterium simiae was isolated repeatedly from the sputum. (B) High-resolution computed tomography chest (axial section) showing bilateral bronchiectasis in the right middle lobe, lingula and lower lobes.
Fig. 3
Fig. 3
Chest radiograph in a 29 yr old female patient with Mycobacterium kansasii-pulmonary disease. (A) Chest X-ray reveals a cavitary lesion in the left lung. (B) Axial section in the high-resolution computed tomography scan demonstrates a cavity in the left lung (white arrow) and tree-in-bud appearance in the right lung (white circle).
Fig. 4
Fig. 4
(A) A 35 yr old female presented with discharge from the right nipple, Mycobacterium abscessus was isolated from the pus on several occasions prior to treatment. (B) Computed tomography (CT)-chest showing enhancement of the margin of the abscess (black arrow) with intravenous contrast. Source: Reproduced with permission from Ref. .
Fig. 5
Fig. 5
(A) Clinical photograph of a 30 yr old male, showing right-sided post-injection gluteal abscess (black arrow) in a patient with NTM infection. (B) Transaxial fused 18F-fluorodeoxyglucosepositron emission tomography-computed tomography (18F-FDG-PET-CT) image of the same patient, at the level of acetabulum showing FDG accumulation in the subcutaneous thickening and stranding (arrow) involving the underlying right gluteus muscle superficially in right gluteal region. Source: Reproduced with permission from Ref. .
Fig. 6
Fig. 6
Clinical photograph of a 35 yr old male, showing discharging sinus (white arrow) in the abdominal wall in a patient infected with Mycobacterium abscessus following hernia repair with mesh. Source: Reproduced with permission from Ref. .
Fig. 7
Fig. 7
The patient, a 14 yr old male, had disseminated Mycobacterium intracellulare infection; no immune defect could be detected. He was successfully treated. (A) The magnetic resonance imaging scan shows osteomyelitis of foot bone (black arrow). (B) Black arrow shows healing of cutaneous lesion by keloid formation. (C) Upper part of thigh shows another healed skin lesion (black arrow). (D and E) Hypodense lesions in the spleen (white open circles) and peri-splenic abscess (white arrows). (F) Bilateral conglomerate necrotic axillary (extreme-left and -right arrows) and right paratracheal lymph nodes (long and short arrows in the centre of CT image), calcification is also noted in the lymph nodes. (G) Iliopsoas abscess on the right side (white asterisk). Source: Reproduced with permission from Ref. .
Fig. 8
Fig. 8
Diagnostic algorithm for detection of NTM disease. *According to Ref. 16, consecutive three sputum samples are obtained, positive results from at least two separate expectorated sputum samples confirms the diagnosis. While sputum collection, the patient should not rinse mouth with municipal or untreated water. Spontaneous sputum should be collected or sputum should be induced if no sputum is produced by patient. Whole genome sequencing (NGS) and multi-locus targeted gene sequencing of gene such as 16S rRNA, hsp65, rpoB, 16S-23S rRNA internal transcribed region (ITS), gyrB, danA, recA and secA. HRCT, high-resolution computed tomography; CSF, cerebrospinal fluid; ICA, immunochromatographic assay; CBNAAT, cartridge based nucleic acid amplification test; L-J, Lowenstein-Jensen media, HPLC: high-performance liquid chromatography, SGM, slowly growing mycobacteria; RGM, rapidly growing mycobacteria; DST, drug susceptibility testing; LPA, line probe assay; PNB: para-nitro benzoic acid; PCR/PRA, polymerase chain reaction/restriction endonuclease assay; MAC, Mycobacterium avium complex; MALDI-TOF MS, matrix-assisted laser desorption ionization-time of flight mass spectrometry. Source: Refs .

References

    1. Haworth CS, Banks J, Capstick T, Fisher AJ, Gorsuch T, Laurenson IF, et al. British Thoracic Society Guideline for the management of non-tuberculous mycobacterial pulmonary disease (NTM-PD) BMJ Open Respir Res. 2017;4:e000242. - PMC - PubMed
    1. Falkinham JO., 3rd Environmental sources of nontuberculous mycobacteria. Clin Chest Med. 2015;36:35–41. - PubMed
    1. Honda JR, Virdi R, Chan ED. Global environmental nontuberculous mycobacteria and their contemporaneous man-made and natural niches. Front Microbiol. 2018;9:2029. - PMC - PubMed
    1. Falkinham JO., 3rd Challenges of NTM drug development. Front Microbiol. 2018;9:1613. - PMC - PubMed
    1. Runyon EH. Anonymous mycobacteria in pulmonary disease. Med Clin North Am. 1959;43:273–90. - PubMed

MeSH terms