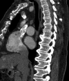
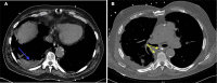
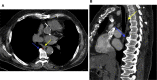
Esophageal Perforation with Transesophageal Echocardiography in an Elderly Patient with Prominent Vertebral Osteophytes: A Case Report and a Review of the Literature
- PMID: 33117922
- PMCID: PMC7581634
- DOI: 10.1016/j.case.2020.06.006
Esophageal Perforation with Transesophageal Echocardiography in an Elderly Patient with Prominent Vertebral Osteophytes: A Case Report and a Review of the Literature
Keywords: Complication; Esophagus; Osteophytes; Perforation; Transesophageal echocardiography.
Figures





References
-
- Ramalingam G., Choi S.W., Agarwal S., Kunst G., Gill R., Fletcher S.N. Complications related to peri-operative transoesophageal echocardiography—a one-year prospective national audit by the Association of Cardiothoracic Anaesthesia and Critical Care. Anaesthesia. 2020;75:21–26. - PubMed
-
- Purza R., Ghosh S., Walker C., Hiebert B., Koley L., Mackenzie G.S. Transesophageal echocardiography complications in adult cardiac surgery: a retrospective cohort study. Ann Thorac Surg. 2017;103:795–802. - PubMed
-
- Piercy M., McNicol L., Dinh D.T., Story D.A., Smith J.A. Major complications related to the use of transesophageal echocardiography in cardiac surgery. J Cardiothorac Vasc Anesth. 2009;23:62–65. - PubMed
-
- Kallmeyer I.J., Collard C.D., Fox J.A., Body S.C., Shernan S.K. The safety of intraoperative transesophageal echocardiography: a case series of 7200 cardiac surgical patients. Anesth Analg. 2001;92:1126–1130. - PubMed
-
- Kimura A., Mori T., Kihara Y., Watanabe C., Tanaka K., Yamada T. A case of esophageal perforation after intraoperative transesophageal echocardiography in a patient with a giant left atrium: unexpectedly large distortion of the esophagus revealed on retrospectively constructed three-dimensional imaging. JA Clin Reports. 2019;5:21. - PMC - PubMed
Publication types
LinkOut - more resources
Full Text Sources