Vasectomy and Photoperiodic Regimen Modify the Protein Profile, Hormonal Content and Antioxidant Enzymes Activity of Ram Seminal Plasma
- PMID: 33138035
- PMCID: PMC7663742
- DOI: 10.3390/ijms21218063
Vasectomy and Photoperiodic Regimen Modify the Protein Profile, Hormonal Content and Antioxidant Enzymes Activity of Ram Seminal Plasma
Abstract
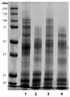
This work aimed to determine the contribution of the testis and epididymis and the effect of the photoperiodic regimen on ram seminal plasma (SP). Semen was collected from 15 mature rams located in an equatorial (Colombian Creole and Romney Marsh, eight intact and two vasectomized) or a temperate climate (Rasa Aragonesa, three intact and two vasectomized). SP proteins were analyzed by Bradford, SDS-PAGE and difference gel electrophoresis (DIGE). Melatonin and testosterone concentrations were quantified by ELISA, and activity of glutathione peroxidase (GPx), glutathione reductase (GRD), and catalase by enzymatic assays. Vasectomy increased protein concentration and the intensity of high molecular weight bands (p < 0.001), with no differences between breeds. DIGE revealed the absence of six proteins in vasectomized rams: angiotensin-converting enzyme, lactotransferrin, phosphoglycerate kinase, sorbitol dehydrogenase, epididymal secretory glutathione peroxidase and epididymal secretory protein E1. Vasectomy also decreased melatonin concentrations in seasonal rams, and testosterone in all of them (p < 0.001), but did not affect antioxidant enzyme activity. Equatorial rams showed lower melatonin and testosterone concentration (p < 0.01) and catalase, but higher GPx activity (p < 0.05). In conclusion, vasectomy modifies the protein profile and hormonal content of ram seminal plasma, whereas the exposure to a constant photoperiod affects hormonal concentration and antioxidant enzymes activity.
Keywords: DIGE; antioxidant enzymes; melatonin; ram; seminal plasma; testosterone; vasectomy.
Conflict of interest statement
The authors declare no conflict of interest. The funders had no role in the design of the study; in the collection, analyses or interpretation of data; in the writing of the manuscript, or in the decision to publish the results.
Figures
 
              
              
              
              
                
                
                 
              
              
              
              
                
                
                 
              
              
              
              
                
                
                 
              
              
              
              
                
                
                References
- 
    - Gatti J.-L., Druart X., Guérin Y., Dacheux F., Dacheux J.-L. A 105- to 94-Kilodalton Protein in the Epididymal Fluids of Domestic Mammals Is Angiotensin I-Converting Enzyme (ACE); Evidence That Sperm Are the Source of This ACE1. Biol. Reprod. 1999;60:937–945. doi: 10.1095/biolreprod60.4.937. - DOI - PubMed
 
MeSH terms
Substances
Grants and funding
LinkOut - more resources
- Full Text Sources
- Medical
- Miscellaneous
 
        