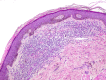
Dermoscopy of Pigmented Purpuric Lichenoid Dermatitis of Gougerot and Blum in an HIV-infected Patient
- PMID: 33150021
- PMCID: PMC7588158
- DOI: 10.5826/dpc.1004a75
Dermoscopy of Pigmented Purpuric Lichenoid Dermatitis of Gougerot and Blum in an HIV-infected Patient
Keywords: dermoscopy; human immunodeficiency virus; pigmented purpuric dermatosis; pigmented purpuric lichenoid dermatitis of Gougerot and Blum.
Conflict of interest statement
Competing interests: The authors have no conflicts of interest to disclose.
Figures





References
LinkOut - more resources
Full Text Sources