Occupational Bronchiolitis: An Update
- PMID: 33153686
- PMCID: PMC7748392
- DOI: 10.1016/j.ccm.2020.08.011
Occupational Bronchiolitis: An Update
Abstract
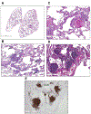
Occupational bronchiolitis is characterized by inflammation of the small airways, and represents a heterogeneous set of lung conditions that can occur following a range of inhalation exposures related to work. The most common clinical presentation includes insidious onset of exertional dyspnea and cough. Multiple reports in recent years have drawn attention to previously unrecognized risk factors for occupational bronchiolitis following exposures in several settings. Both current and past occupational exposures, including prior military deployment-related exposures, should be considered in patients undergoing evaluation for unexplained dyspnea. Diagnostic testing for potential bronchiolitis should include a thorough assessment of the small airways.
Keywords: 2,3-Pentanedione; Constrictive bronchiolitis; Diacetyl; Flavoring; Military deployment; Obliterative bronchiolitis; Styrene.
Published by Elsevier Inc.
Conflict of interest statement
Disclosure The authors have nothing to disclose. The findings and conclusions in this report are those of the authors and do not necessarily represent the official position of the National Institute for Occupational Safety and Health, Centers for Disease Control and Prevention.
Figures
Comment in
-
Constrictive bronchiolitis secondary to exposure to flavoring agents: a little known occupational hazard.J Bras Pneumol. 2023 Jan 20;49(1):e20220328. doi: 10.36416/1806-3756/e20220328. J Bras Pneumol. 2023. PMID: 36700574 Free PMC article. No abstract available.
References
Publication types
MeSH terms
Grants and funding
LinkOut - more resources
Full Text Sources
Medical
Miscellaneous
