DYRK1A pathogenic variants in two patients with syndromic intellectual disability and a review of the literature
- PMID: 33159716
- PMCID: PMC7767569
- DOI: 10.1002/mgg3.1544
DYRK1A pathogenic variants in two patients with syndromic intellectual disability and a review of the literature
Abstract
Background: DYRK1A-Related Intellectual Disability Syndrome is a rare autosomal dominant condition characterized by intellectual disability, speech and language delays, microcephaly, facial dysmorphism, and feeding difficulties. Affected individuals represent simplex cases that result from de novo heterozygous pathogenic variants in DYRK1A (OMIM 614104), or chromosomal structural rearrangements involving the DYRK1A locus. Due to the rarity of DYRK1A-Related Intellectual Disability Syndrome, the spectrum of symptoms associated with this disease has not been completely defined.
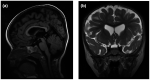
Methods and results: We present two unrelated cases of DYRK1A-Related Intellectual Disability Syndrome resulting from variants in DYRK1A. Both probands presented to the National Institutes of Health (NIH) with multiple dysmorphic facial features, primary microcephaly, absent or minimal speech, feeding difficulties, and cognitive impairment; features that have been previously reported in individuals with DYRK1A. During NIH evaluation, additional features of enlarged cerebral subarachnoid spaces, retinal vascular tortuosity, and bilateral anomalous large optic discs with increased cup-to-disc ratio were identified in the first proband and multiple ophthalmologic abnormalities and sensorineural hearing loss were identified in the second proband.
Conclusion: We recommend that the workup of future of patients include a comprehensive eye exam. Early establishment of physical, occupational, and speech therapy may help in the management of ataxia, hypertonia, and speech impairments common in these patients.
Keywords: DYRK1A; Down syndrome; autosomal dominant mental retardation 7; feeding difficulties; microcephaly.
© 2020 The Authors. Molecular Genetics & Genomic Medicine published by Wiley Periodicals LLC.
Conflict of interest statement
The authors declare that they have no competing interests.
Figures


References
-
- Branca, C. , Shaw, D. M. , Belfiore, R. , Gokhale, V. , Shaw, A. Y. , Foley, C. , Smith, B. , Hulme, C. , Dunckley, T. , Meechoovet, B. , Caccamo, A. , & Oddo, S. (2017). Dyrk1 inhibition improves Alzheimer's disease‐like pathology. Aging Cell, 16(5), 1146–1154. 10.1111/acel.12648 - DOI - PMC - PubMed
-
- Bronicki, L. M. , Redin, C. , Drunat, S. , Piton, A. , Lyons, M. , Passemard, S. , Baumann, C. , Faivre, L. , Thevenon, J. , Rivière, J.‐B. , Isidor, B. , Gan, G. , Francannet, C. , Willems, M. , Gunel, M. , Jones, J. R. , Gleeson, J. G. , Mandel, J.‐L. , Stevenson, R. E. , … Aylsworth, A. S. (2015). Ten new cases further delineate the syndromic intellectual disability phenotype caused by mutations in DYRK1A. European Journal of Human Genetics, 23(11), 1482–1487. 10.1038/ejhg.2015.29 - DOI - PMC - PubMed
-
- Dang, T. , Duan, W. Y. , Yu, B. , Tong, D. L. , Cheng, C. , Zhang, Y. F. , Wu, W. , Ye, K. , Zhang, W. X. , Wu, M. , Wu, B. B. , An, Y. , Qiu, Z. L. , & Wu, B. L. (2018). Autism‐associated Dyrk1a truncation mutants impair neuronal dendritic and spine growth and interfere with postnatal cortical development. Molecular Psychiatry, 23(3), 747–758. 10.1038/mp.2016.253 - DOI - PMC - PubMed
Publication types
MeSH terms
Substances
Grants and funding
- MC_UP_A620_1015/MRC_/Medical Research Council/United Kingdom
- MC_U147585827/MRC_/Medical Research Council/United Kingdom
- MC_UU_12011/2/MRC_/Medical Research Council/United Kingdom
- MC_U147585819/MRC_/Medical Research Council/United Kingdom
- MC_UP_A620_1014/MRC_/Medical Research Council/United Kingdom
- MC_U147585824/MRC_/Medical Research Council/United Kingdom
- ZIA HG000215/ImNIH/Intramural NIH HHS/United States
- 10/33/04/DH_/Department of Health/United Kingdom
- MC_UU_12011/1/MRC_/Medical Research Council/United Kingdom
- G0400491/MRC_/Medical Research Council/United Kingdom
- P50 HD103525/HD/NICHD NIH HHS/United States
LinkOut - more resources
Full Text Sources
Medical