Skip to main page content
U.S. flag

An official website of the United States government

Dot gov

The .gov means it’s official.
Federal government websites often end in .gov or .mil. Before sharing sensitive information, make sure you’re on a federal government site.

Https

The site is secure.
The https:// ensures that you are connecting to the official website and that any information you provide is encrypted and transmitted securely.

Access keys NCBI Homepage MyNCBI Homepage Main Content Main Navigation
. 2020 Nov 9;192(45):E1419-E1422.
doi: 10.1503/cmaj.200821-f.

Infection congénitale probable au SRAS-CoV-2 chez le nouveau-né d’une femme atteinte de COVID-19 active

[Article in French]
Affiliations

Infection congénitale probable au SRAS-CoV-2 chez le nouveau-né d’une femme atteinte de COVID-19 active

[Article in French]
Maksim Kirtsman et al. CMAJ. .
No abstract available

PubMed Disclaimer

Conflict of interest statement

Intérêts concurrents: Susan Poutanen déclare avoir reçu des honoraires de Merck en lien avec des comités consultatifs et des conférences, des honoraires de Verity, Cipher Pharmaceuticals et Paladin Labs en lien avec des comités consultatifs, un remboursement partiel de frais de déplacement lors de conférences de COPAN Diagnostics et un soutien à la recherche de Accelerate Diagnostics et bioMérieux, tous sans lien avec le présent article. Ann Malinowski est membre du comité consultatif d’Alexion sur la microangiopathie thrombotique postnatale et a participé à une conférence commandée par Alexion sur la microangiopathie thrombotique dans la grossesse. Aucun autre intérêt concurrent n’a été déclaré.

Figures

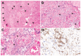
Figure 1:
Figure 1:
Photomicrographies placentaires. (A) À l’imagerie de faible puissance, plusieurs zones vastes d’infiltrats cellulaires sont dispersées aléatoirement sur toute la surface (flèches). La zone la plus normale se trouve du côté droit de la diapo (hématoxyline-éosine, amplification originale ×2). (B) Cliché de puissance supérieure montrant une infiltration de l’espace intervillaire par des cellules d’inflammation chronique (flèches). Les villosités chorioniques sont pour une bonne part épargnées de l’infiltration, mais montrent plutôt une vaste nécrose précoce de la couche syncytiotrophoblastique. On note aussi un dépôt de fibrine périvillaire (hématoxyline-éosine, grossissement original ×20). (C) Cliché de forte puissance qui révèle un infarctus précoce, avec des taches dispersées et une fragmentation précoce des noyaux syncytiotrophoblastiques (flèches) (hématoxyline-éosine, grossissement original ×40). (D) Immunocoloration des marqueurs de l’antigène CD68 pour les macrophages montrant un grand nombre de cellules d’inflammation chronique dans l’espace intervillaire, qui encerclent les villosités chorioniques (immunocoloration des marqueurs de l’antigène CD68, grossissement original ×20).

References

    1. Vlachodimitropoulou Koumoutsea E, Vivanti AJ, Shehata N, et al. COVID-19 and acute coagulopathy in pregnancy. J Thromb Haemost le 17 Avril 2020. [Cyberpublication avant impression]. 10.1111/jth.14856. - DOI - PMC - PubMed
    1. Zeng L, Xia S, Yuan W, et al. Neonatal early-onset infection with SARS-CoV-2 in 33 neonates born to mothers with COVID-19 in Wuhan, China. JAMA Pediatr le 26 Mars 2020. [Cyberpublication avant impression]. 10.1001/jamapediatrics.2020.0878. - DOI - PMC - PubMed
    1. lzamora MC, Paredes T, Caceres D, et al. Severe COVID-19 during pregnancy and possible vertical transmission. Am J Perinatol le 18 Avril 2020. [Cyberpublication avant impression]. 10.1055/s-0040-1710050. - DOI - PMC - PubMed
    1. Zeng H, Xu C, Fan J, et al. Antibodies in infants born to mothers with COVID-19 pneumonia. JAMA le 26 Mars 2020. [Cyberpublication avant impression]. 10.1001/jama.2020.4861. - DOI - PMC - PubMed
    1. Kimberlin DW, Stagno S. Can SARS-CoV-2 infection be acquired in utero?: More definitive evidence is needed. JAMA le 26 Mars 2020. [Cyberpublication avant impression]. 10.1001/jama.2020.4868. - DOI - PubMed