Radiological manifestations of thoracic hydatid cysts: pulmonary and extrapulmonary findings
- PMID: 33175295
- PMCID: PMC7658283
- DOI: 10.1186/s13244-020-00916-0
Radiological manifestations of thoracic hydatid cysts: pulmonary and extrapulmonary findings
Abstract
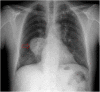
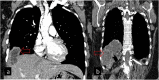
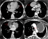
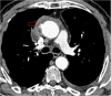
Hydatid cyst caused by the larval form of Echinococcus is a worldwide zoonosis. The lungs and liver are the most common sites involved. While the lung parenchyma is the most common site within the thorax, it may develop in any extrapulmonary region including the pleural cavity, fissures, mediastinum, heart, vascular structures, chest wall, and diaphragm. Imaging plays a pivotal role not only in the diagnosis of hydatid cyst, but also in the visualization of the extent of involvement and complications. The aim of this pictorial review was to comprehensively describe the imaging findings of thoracic hydatid cyst including pulmonary and very unusual extrapulmonary involvements. An outline is also given for the findings of complications and differential diagnosis of thoracic hydatid cyst.
Keywords: Extrapulmonary; Pulmonary; Thoracic hydatid cyst.
Conflict of interest statement
The authors declare that they have no competing interests.
Figures


















References
-
- Neva FA (1994) BHIhIBpN, Conn. Appleton&Lange 128-133
Publication types
LinkOut - more resources
Full Text Sources