The 2020 WHO Classification of Soft Tissue Tumours: news and perspectives
- PMID: 33179614
- PMCID: PMC8167394
- DOI: 10.32074/1591-951X-213
The 2020 WHO Classification of Soft Tissue Tumours: news and perspectives
Abstract
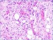
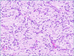
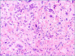
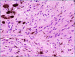
Mesenchymal tumours represent one of the most challenging field of diagnostic pathology and refinement of classification schemes plays a key role in improving the quality of pathologic diagnosis and, as a consequence, of therapeutic options. The recent publication of the new WHO classification of Soft Tissue Tumours and Bone represents a major step toward improved standardization of diagnosis. Importantly, the 2020 WHO classification has been opened to expert clinicians that have further contributed to underline the key value of pathologic diagnosis as a rationale for proper treatment. Several relevant advances have been introduced. In the attempt to improve the prediction of clinical behaviour of solitary fibrous tumour, a risk assessment scheme has been implemented. NTRK-rearranged soft tissue tumours are now listed as an "emerging entity" also in consideration of the recent therapeutic developments in terms of NTRK inhibition. This decision has been source of a passionate debate regarding the definition of "tumour entity" as well as the consequences of a "pathology agnostic" approach to precision oncology. In consideration of their distinct clinicopathologic features, undifferentiated round cell sarcomas are now kept separate from Ewing sarcoma and subclassified, according to the underlying gene rearrangements, into three main subgroups (CIC, BCLR and not ETS fused sarcomas) Importantly, In order to avoid potential confusion, tumour entities such as gastrointestinal stroma tumours are addressed homogenously across the different WHO fascicles. Pathologic diagnosis represents the integration of morphologic, immunohistochemical and molecular characteristics and is a key element of clinical decision making. The WHO classification is as a key instrument to promote multidisciplinarity, stimulating pathologists, geneticists and clinicians to join efforts aimed to translate novel pathologic findings into more effective treatments.
Keywords: WHO classification; molecular genetics; morphology; new entity; soft tissue sarcoma.
Copyright © 2020 Società Italiana di Anatomia Patologica e Citopatologia Diagnostica, Divisione Italiana della International Academy of Pathology.
Figures

















References
-
- Sbaraglia M, Dei Tos AP. The pathology of soft tissue sarcomas. Radiol Med 2019;124:266-81. Epub 2018 Jun 12. PMID: 29948548. https://doi.org/10.1007/s11547-018-0882-7 10.1007/s11547-018-0882-7 - DOI - PubMed
-
- Kissin MW, Fisher C, Webb AJ, Westbury G. Value of fine needle aspiration cytology in the diagnosis of soft tissue tumours: a preliminary study on the excised specimen. Br J Surg 1987;74:479-80. PMID: 3607402. https://doi.org/10.1002/bjs.1800740616 10.1002/bjs.1800740616 - DOI - PubMed
-
- Ray-Coquard I, Montesco MC, Coindre JM, et al. . Sarcoma: concordance between initial diagnosis and centralized expert review in a population-based study within three European regions. Ann Oncol 2012;23:2442-9. Epub 2012 Feb 13. PMID: 22331640; PMCID: PMC3425368. https://doi.org/10.1093/annonc/mdr610 10.1093/annonc/mdr610 - DOI - PMC - PubMed
-
- Thway K, Wang J, Mubako T, Fisher C. Histopathological diagnostic discrepancies in soft tissue tumours referred to a specialist centre: reassessment in the era of ancillary molecular diagnosis. Sarcoma 2014;2014:686902. https://doi.org/10.1155/2014/686902 10.1155/2014/686902 - DOI - PMC - PubMed
-
- Frezza AM, Lee ATJ, Nizri E, et al. . 2018 ESMO Sarcoma and GIST Symposium: ‘take-home messages’ in soft tissue sarcoma. ESMO Open 2018;3:e000390. PMID: 30018812; PMCID: PMC6045770. https://doi.org/10.1136/esmoopen-2018-000390 10.1136/esmoopen-2018-000390 - DOI - PMC - PubMed
Publication types
MeSH terms
Substances
LinkOut - more resources
Full Text Sources
Medical
Miscellaneous