Higher prevalence of pulmonary macrothrombi in SARS-CoV-2 than in influenza A: autopsy results from 'Spanish flu' 1918/1919 in Switzerland to Coronavirus disease 2019
- PMID: 33185036
- PMCID: PMC7869934
- DOI: 10.1002/cjp2.189
Higher prevalence of pulmonary macrothrombi in SARS-CoV-2 than in influenza A: autopsy results from 'Spanish flu' 1918/1919 in Switzerland to Coronavirus disease 2019
Abstract
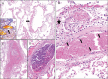
Similar to the influenza A pandemic in 1918/1919, the new Coronavirus disease 2019 (COVID-19) has spread globally. The causes of death in COVID-19 are frequently compared to a seasonal influenza outbreak. Complete COVID-19 autopsy studies were almost non-existent in the first months of the outbreak and are still rare with respect to the number of deaths. It has been recently reported that capillary microthrombi are significantly more prevalent in patients with COVID-19 than in patients with influenza A. To date, the contribution of macrothrombi, i.e. visible thrombi in pulmonary arteries, to the death of patients with influenza A in comparison to COVID-19 remains unaddressed. Here, we report autopsy findings in 411 patients who died from the 'Spanish' influenza A pandemic between May 1918 and April 1919 at the University Hospital Zurich, Switzerland. We compare these results with influenza A autopsies from 2009 to 2020, other influenza A autopsy series and all COVID-19 autopsies published to date. No descriptions of any macroscopic thromboembolic events were mentioned in influenza A autopsy reports. In 75 published COVID-19 autopsies, pulmonary artery thrombosis/embolism was reported in 36%. The direct comparison of macroscopic autopsy findings suggests a significantly greater degree of grossly visible pulmonary macrothrombi in patients with COVID-19 in comparison to influenza A autopsies even though most patients received empiric thromboprophylaxis. This is consistent with the concept of a SARS-related de novo coagulopathy with generalised in situ clot formation, which could explain the high incidence of pulmonary thrombosis/embolism with or without underlying deep vein thrombosis and in the absence of a history of venous thromboembolic events.
Keywords: COVID-19; autopsy; influenza A; pulmonary embolism.
© 2020 The Authors. The Journal of Pathology: Clinical Research published by The Pathological Society of Great Britain and Ireland & John Wiley & Sons, Ltd.
Figures
References
MeSH terms
Substances
LinkOut - more resources
Full Text Sources
Medical
Miscellaneous
