Coinfection with SARS-CoV-2 and Influenza A Virus in a 32-Year-Old Man
- PMID: 33188162
- PMCID: PMC7672510
- DOI: 10.12659/AJCR.926092
Coinfection with SARS-CoV-2 and Influenza A Virus in a 32-Year-Old Man
Abstract
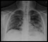
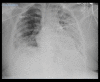
BACKGROUND There was a growing presumption that coinfection with severe acute respiratory syndrome coronavirus 2 (SARS-CoV-2) and another viral respiratory illness was nonexistent. Although there has been an increasing number of coinfection cases since the beginning of the SARS-CoV-2 pandemic, there is still a significant lack of information regarding the symptomatology, treatment, prognosis, and reasoning behind coinfection. This raises concern of the possibility of misdiagnosis or delay in treatment. CASE REPORT This case report discusses a coinfection of SARS-CoV-2 and Influenza A in a 32-year-old man to highlight that these viruses can coexist within the same patient. This patient unfortunately died of persistent respiratory failure after several days in the ICU. CONCLUSIONS Coinfection of SARS-CoV-2 and Influenza A can occur and lead to a poor prognosis.
Conflict of interest statement
Figures



References
-
- Centers for Disease Control and Prevention Evaluating and Testing Persons for Coronavirus Disease 2019 (COVID-19) https://www.cdc.gov/coronavirus/2019-ncov/hcp/clinical-criteriahtml.
Publication types
MeSH terms
Substances
LinkOut - more resources
Full Text Sources
Medical
Miscellaneous