COVID-19-Related Intracerebral Hemorrhage
- PMID: 33192492
- PMCID: PMC7642875
- DOI: 10.3389/fnagi.2020.600172
COVID-19-Related Intracerebral Hemorrhage
Abstract
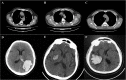
Intracerebral hemorrhage (ICH) is a common and severe neurological disorder and is associated with high rates of mortality and morbidity. ICH is associated with old age and underlying conditions such as hypertension and diabetes mellitus. The COVID-19 pandemic is associated with neurological symptoms and complications including ICH. For instance, the mechanisms by which COVID-19 may contribute to hemorrhagic stroke may include both depletion of angiotensin converting enzyme 2 (ACE2) receptor and overactive immune response. In this study, we herein report three patients (0.25%) out of 1200 admissions with COVID-19 to our center between 1 May and August 4, 2020, who developed ICH. In addition, we will briefly discuss the possible pathophysiological mechanisms of COVID-19 infection in patients with ICH.
Keywords: COVID-19; complications; intracerebral hemorrhage; neurological consequences; pathophysiological mechanisms.
Copyright © 2020 Pavlov, Beylerli, Gareev, Torres Solis, Solís Herrera and Aliev.
Figures

References
Publication types
LinkOut - more resources
Full Text Sources