Delayed stroke after hospitalization for coronavirus disease 2019 pneumonia from common and internal carotid artery thrombosis
- PMID: 33200108
- PMCID: PMC7654362
- DOI: 10.1016/j.jvscit.2020.11.001
Delayed stroke after hospitalization for coronavirus disease 2019 pneumonia from common and internal carotid artery thrombosis
Abstract
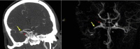
Large vessel arterial thrombosis has been reported to complicate a subset of cases of coronavirus disease 2019 (COVID-19). Thrombosis of the extracranial carotid arterial system can lead to devastating stroke in some patients with COVID-19. We have presented the case of a patient previously hospitalized with COVID-19 for oxygen supplementation who had presented after discharge with delayed stroke from a right common carotid artery and internal carotid artery thrombosis. The thrombotic occlusion resolved with antithrombotic medications and no invasive intervention. The present report highlights the complicated and heterogeneous nature of COVID-19 and provides one approach to managing the devastating complication of stroke from carotid arterial thrombosis.
Keywords: COVID-19; Carotid artery; Stroke; Thromboembolism; Thrombosis.
© 2020 The Authors.
Figures





References
-
- Jordan R.E., Adab P., Cheng K. COVID-19: risk factors for severe disease and death. BMJ. 2020;368:m1198. - PubMed
Publication types
Grants and funding
LinkOut - more resources
Full Text Sources
Other Literature Sources