Infected aortic aneurysm caused by Helicobacter cinaedi: case series and systematic review of the literature
- PMID: 33203370
- PMCID: PMC7670619
- DOI: 10.1186/s12879-020-05582-7
Infected aortic aneurysm caused by Helicobacter cinaedi: case series and systematic review of the literature
Abstract
Background: Helicobacter cinaedi is rarely identified as a cause of infected aneurysms; however, the number of reported cases has been increasing over several decades, especially in Japan. We report three cases of aortic aneurysm infected by H. cinaedi that were successfully treated using meropenem plus surgical stent graft replacement or intravascular stenting. Furthermore, we performed a systematic review of the literature regarding aortic aneurysm infected by H. cinaedi.
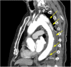
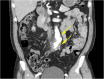
Case presentation: We present three rare cases of infected aneurysm caused by H. cinaedi in adults. Blood and tissue cultures and 16S rRNA gene sequencing were used for diagnosis. Two patients underwent urgent surgical stent graft replacement, and the other patient underwent intravascular stenting. All three cases were treated successfully with intravenous meropenem for 4 to 6 weeks.
Conclusions: These cases suggest that although aneurysms infected by H. cinaedi are rare, clinicians should be aware of H. cinaedi as a potential causative pathogen, even in immunocompetent patients. Prolonged incubation periods for blood cultures are necessary for the accurate detection of H. cinaedi.
Keywords: Case report; Helicobacter cinaedi; Infected aneurysm; Japan.
Conflict of interest statement
The authors declare that they have no competing interests.
Figures




References
Publication types
MeSH terms
Substances
Supplementary concepts
LinkOut - more resources
Full Text Sources
Medical