Rotational atherectomy through a coronary artery bypass graft after transcatheter aortic valve implantation: a case report
- PMID: 33204990
- PMCID: PMC7649512
- DOI: 10.1093/ehjcr/ytaa298
Rotational atherectomy through a coronary artery bypass graft after transcatheter aortic valve implantation: a case report
Abstract
Background: Aortic stenosis (AS) in the elderly is frequently associated with complex coronary artery disease. Rotational atherectomy (RA) in this clinical setting is challenging because coronary slow flow could lead to haemodynamic instability aggravated by the severe AS.
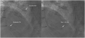
Case summary: We present the case of an 83-year-old woman with symptomatic severe AS, mildly decreased left ventricular ejection fraction and history of coronary artery bypass grafting with right internal mammary artery (RIMA) to the right coronary artery (RCA) and left internal mammary artery to the left anterior descending artery and further percutaneous coronary intervention (PCI) to the circumflex. First, we performed a transcatheter aortic valve implantation (TAVI) to treat the severe AS. Because of persistent symptoms despite good result, we then performed RA of the native RCA through the RIMA with a Guidezilla® guide extension catheter.
Discussion: A two-staged procedure of TAVI and PCI with RA of the RCA via RIMA was successfully performed. We decided to perform the PCI after the TAVI to allow a better haemodynamic tolerance of the complex coronary intervention. This procedure needs caution as the conduit is fragile and could be easily damaged during the RA. No data are available about feasibility and safety of RA through a native graft, but this could be a first step to consider it.
Keywords: Case report; Percutaneous coronary intervention; Rotational atherectomy; Transcatheter aortic valve replacement.
© The Author(s) 2020. Published by Oxford University Press on behalf of the European Society of Cardiology.
Figures



References
-
- Lee MS, Gordin JS, Stone GW, Sharma SK, Saito S, Mahmud E. et al. Orbital and rotational atherectomy during percutaneous coronary intervention for coronary artery calcification. Catheter Cardiovasc Interv 2018;92:61–67. - PubMed
-
- Couper LT, Loane P, Andrianopoulos N, Brennan A, Nanayakkara S, Nerlekar N. et al.; on behalf of the Melbourne Interventional Group (MIG) Investigators. Utility of rotational atherectomy and outcomes over an eight-year period. Catheter Cardiovasc Interv 2015;86:626–631. - PubMed
-
- Goel SS, Ige M, Tuzcu EM, Ellis SG, Stewart WJ, Svensson LG. et al. Severe aortic stenosis and coronary artery disease—implications for management in the transcatheter aortic valve replacement era: a comprehensive review. J Am Coll Cardiol 2013;62:1–10. - PubMed
-
- Piccoli A, Lunardi M, Ariotti S, Ferrero V, Vassanelli C, Ribichini F.. Expanding TAVI options: elective rotational atherectomy during trans-catheter aortic valve implantation. Cardiovasc Revasc Med 2015;16:58–61. - PubMed
-
- Bittl JA, Chew DP, Topol EJ, Kong DF, Califf RM.. Meta-analysis of randomized trials of percutaneous transluminal coronary angioplasty versus atherectomy, cutting balloon atherotomy, or laser angioplasty. J Am Coll Cardiol 2004;43:936–942. - PubMed
Publication types
LinkOut - more resources
Full Text Sources
Research Materials
Miscellaneous