Loculated empyema in a neonate successfully treated with chest tube thoracostomy and antibiotics
- PMID: 33209575
- PMCID: PMC7658704
- DOI: 10.1016/j.rmcr.2020.101274
Loculated empyema in a neonate successfully treated with chest tube thoracostomy and antibiotics
Abstract
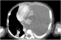
Empyema thoracis, defined as the accumulation of pus in the pleural space, is a rare entity in the neonatal period. There are very few cases described in the medical literature and there are still no treatment protocols in the management of empyema in neonates. In older infants and children, intrapleural fibrinolytics and surgery are often utilized since treatment of complicated parapneumonic effusions with chest tube and antibiotics alone often fail due to the viscous fluid and presence of loculations. Presented here is a case of a term neonate who exhibited symptoms of respiratory distress on the sixth day of life. Imaging modalities revealed massive left sided pleural effusion with loculations and mass effects. Pleural fluid was grossly pus and exudative in nature. Gram stain revealed gram-positive cocci but culture was negative. Empiric broad-spectrum antibiotics and chest tube drainage were utilized and patient was discharged after forty-seven days of hospital admission. In spite of prolonged hospital stay, patient survived with no complications. Therefore, nonoperative therapy could still be an option for neonates with loculated empyema. The key to success in treatment is immediate identification of effusion, prompt initiation of antibiotics, and early effective chest tube drainage.
Keywords: Case report; Empyema; Newborn; Parapneumonic effusion; Pleural effusion.
© 2020 The Author(s).
Figures
References
-
- Barbosa M., Rocha G., Flôr-de-Lima F., Guimarães H. Neonatal pleural effusions in a level III neonatal intensive care unit. J Pediatr Neonat Individual Med. 2015;4(1):1. doi: 10.7363/040123. - DOI
-
- Wheeler J.G., Jacobs R.F. Complications of pneumonia. In: Cherry J.D., Harrison G.J., Steinbach W.J., Kaplan S.L., Peter J.H., editors. Pediatric Infectious Diseases. seventh ed. Elsevier Saunders; Philadelphia: 2014. p. 308.
Publication types
LinkOut - more resources
Full Text Sources
