Case Report: Simultaneously diagnosed gastric adenocarcinoma and pernicious anemia - a classic association
- PMID: 33214873
- PMCID: PMC7656275
- DOI: 10.12688/f1000research.24353.2
Case Report: Simultaneously diagnosed gastric adenocarcinoma and pernicious anemia - a classic association
Abstract
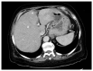
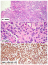
Primary gastric cancer remains one of the most prevalent malignancies worldwide. Often patients remain asymptomatic until it is detected at an advanced stage with a poor prognosis. Thus, it's characteristically difficult to initially diagnose until it becomes late stage, at which point prognosis becomes poor. Pernicious anemia is a classic risk factor for the development of primary gastric cancer, but is uncommonly seen in clinical practice. Over time, patients who produce the autoantibodies to intrinsic factor that cause pernicious anemia typically will present initially with clinically significant megaloblastic anemia and peripheral neuropathy. However, patients can also present with more nonspecific signs and symptoms. Thus, clinicians should remain vigilant as circulating anti-intrinsic factor antibodies only worsen the disease over time and increase the risk of developing primary gastric cancer. This report not only presents the rare concurrent diagnosis of pernicious anemia and gastric cancer, but also aims to increase clinical awareness of these two conditions' classic association because early diagnosis and treatment significantly impacts morbidity and mortality.
Keywords: Autoimmune gastritis; Gastric adenocarcinoma; Parietal cells; Pernicious anemia; Stomach cancer.
Copyright: © 2020 Kamran S et al.
Conflict of interest statement
No competing interests were disclosed.
Figures





References
-
- Layke JC, Lopez PP: Gastric cancer: diagnosis and treatment options. Am Fam Physician. 2004;69(5):1133–40. - PubMed
-
- Pernicious Anemia.2019; Accessed: May 6, 2020. Reference Source
Publication types
MeSH terms
Substances
LinkOut - more resources
Full Text Sources
Medical