A pseudoaneurysm of the right hepatic artery treated successfully with a stent graft - A case report
- PMID: 33220658
- PMCID: PMC7688995
- DOI: 10.1016/j.ijscr.2020.11.033
A pseudoaneurysm of the right hepatic artery treated successfully with a stent graft - A case report
Abstract
Introduction: Haemobilia caused by pseudoaneurysms of the right hepatic or cystic artery is rare. Haemobilia classically causes gastro-intestinal hemorrhage, jaundice and upper abdominal pain.
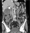
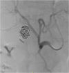
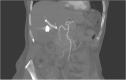
Presentation of case: A 76-year old female underwent laparoscopic cholecystectomy because of a severe acute on chronic cholecystitis. A massive arterial bleeding occurred during surgery, which was controlled with hemoclips. Approximately one week after surgery the patient developed severe colic pains and cholestatic liver enzyme alterations. Endo-ultrasound showed normal-width bile ducts, however during a subsequent ERCP haemobilia was observed. On computed tomography a pseudoaneurysm of the right hepatic artery was seen. Selective embolization was initially successful, however, a rebleed was observed two weeks later and a 6 × 50 mm Viabahn stent graft was placed in the right hepatic artery uneventfully. The patient remained free of complaints during 3-years of follow-up.
Discussion: Pseudoaneurysms of the cystic or hepatic arteries are described to be cholecystectomy or cholecystitis related. The etiology of the pseudoaneurysm in this case can be inflammatory or iatrogenic. Embolization is the golden standard in pseudoaneurysm treatment. Stent graft implantation has not been frequently described as an alternative option to surgery after a failed attempt of embolization.
Conclusion: This case report presents a probable cholecystitis related pseudoaneurysm of the right hepatic artery, which caused haemobilia after cholecystectomy. The pseudoaneurysm was successfully eliminated with a stent graft after embolization had failed. Stent grafts should be considered a minimal invasive and effective alternative after failed embolization of a pseudoaneurysm.
Keywords: Embolization; Haemobilia; Pseudoaneurysm; Stent graft.
Copyright © 2020 The Authors. Published by Elsevier Ltd.. All rights reserved.
Figures



References
-
- Nicholson T. Hepatic artery angiography and embolization for hemobilia following laparoscopic cholecystectomy. Cardiovasc. Intervent. Radiol. 1999;22(1):20–24. - PubMed
Publication types
LinkOut - more resources
Full Text Sources
Research Materials