Structured reporting in portable chest radiographs: An essential tool in the diagnosis of COVID-19
- PMID: 33246271
- PMCID: PMC7657021
- DOI: 10.1016/j.ejrad.2020.109414
Structured reporting in portable chest radiographs: An essential tool in the diagnosis of COVID-19
Abstract
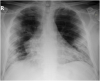
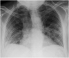
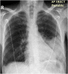
Purpose: To date, the majority of chest imaging studies in COVID-19 pneumonia have focused on CT. Evidence for the utility of chest radiographs (CXRs) in this population is less robust. Our objectives were to develop a systematic approach for reporting likelihood of COVID-19 pneumonia on CXRs, to measure the interobserver variability of this approach and to evaluate the diagnostic performance of CXRs compared to real-time reverse transcription polymerase chain reaction (RT-PCR).
Method: Retrospective review of patients suspected of having COVID-19 pneumonia who attended our emergency department and underwent both CXR and a RT-PCR were included. Two radiologists reviewed the CXRs, blind to the RT-PCR, and classified them according to a structured reporting template with five categories (Characteristic, High Suspicion, Indeterminate, Unlikely and Normal) which we devised. For analysis of diagnostic accuracy, Characteristic and High Suspicion CXRs were considered positive and the remaining categories negative. Concordance between the two assessors was also measured.
Results: Of 582 patients (51 +/- 20 years), 143/582 (24.6 %) had a positive RT-PCR. The absolute concordance between the two assessors was 71.1 % (414/582) with a Fleiss-Cohen-weighted Cohen's κ of 0.81 (95 % confidence interval, 0.78-0.85). A patient with a positive CXR had an 88 % (95 % CI 80-96 %) probability of having a positive RT-PCR during a period of high incidence, early in the COVID-19 pandemic.
Conclusion: Using a structured approach, a positive CXR had a high likelihood of predicting a positive RT-PCR, with good interrater reliability. CXRs can be useful in identifying new cases of COVID-19.
Keywords: COVID-19; Diagnostic imaging; Radiology.
Copyright © 2020 Elsevier B.V. All rights reserved.
Conflict of interest statement
The authors declare that they have no known competing financial interests or personal relationships that could have appeared to influence the work reported in this paper.
Figures





References
-
- World Health Organisation (W.H.O.) 2020. Coronavirus Disease 2019 (COVID-19) Situation Report - 107.https://www.who.int/docs/default-source/coronaviruse/situation-reports/2... May 6th.
-
- Rubin G.D., Ryerson C.J., Haramati L.B., Sverzellati N., Kanne J.P., Raoof S., Schluger N.W., Volpi A., Yim J.-J., Martin I.B.K., Anderson D.J., Kong C., Altes T., Bush A., Desai S.R., Goldin J., Goo J.M., Humbert M., Inoue Y., Kauczor H.-U., Luo F., Mazzone P.J., Prokop M., Remy-Jardin M., Richeldi L., Schaefer-Prokop C.M., Tomiyama N., Wells A.U., Leung A.N. The role of chest imaging in patient management during the COVID-19 pandemic: A multinational consensus statement from the Fleischner society. Radiology. 2020 0(0) - PMC - PubMed
-
- Salehi S., Abedi A., Balakrishnan S., Gholamrezanezhad A. Coronavirus disease 2019 (COVID-19): a systematic review of imaging findings in 919 patients. Am. J. Roentgenol. 2020:1–7. - PubMed
MeSH terms
LinkOut - more resources
Full Text Sources
Other Literature Sources
Medical