Low-Dose Radiation Therapy in the Management of Coronavirus Disease 2019 (COVID-19) Pneumonia (LOWRAD-Cov19): Preliminary Report
- PMID: 33249142
- PMCID: PMC7690272
- DOI: 10.1016/j.ijrobp.2020.11.049
Low-Dose Radiation Therapy in the Management of Coronavirus Disease 2019 (COVID-19) Pneumonia (LOWRAD-Cov19): Preliminary Report
Abstract
Purpose: Low-dose radiation therapy (LD-RT) has been shown to have an anti-inflammatory effect, and preliminary results suggest it is feasible to treat patients with coronavirus disease 2019 (COVID-19) pneumonia.
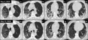
Materials and methods: We conducted a prospective, single-arm, phase 1/2 clinical trial enrolling patients aged ≥50 years, who were coronavirus disease 2019 (COVID-19) positive, at phase 2 or 3 with lung involvement at imaging study and oxygen requirement. Patients received 100 cGy to total lungs in a single fraction. Primary outcome was radiologic response using severity and extension score on baseline computed tomography (CT), at days 3 and 7 after LD-RT. Secondary outcomes were toxicity using Common Terminology Criteria for Adverse Events v.5.0, duration of hospitalization, blood work evolution, and oxygen requirements using SatO2/FiO2 index (SAFI), at days 3 and 7 after LD-RT.
Results: Nine patients were included. Median age was 66 (interquartile range, 57-77). Severity score was stable or decreased in the third CT but was not statistically significant (P = .28); however, there were statistically significant changes in the extension score (P = .03). SAFI index significantly improved 72 hours and 1 week after LD-RT (P = .01). Inflammatory blood parameters decreased 1 week after RT compared with baseline; only lactate dehydrogenase decreased significantly (P = .04). Two patients presented grade 2 lymphopenia after RT and another (with baseline grade 3) worsened to grade 4. Overall, the median number of days of hospitalization was 59 (range, 26-151). After RT the median number of days in the hospital was 13 (range, 4-77). With a median follow-up after RT of 112 days (range, 105-150), 7 patients were discharged and 2 patients died, 1 due to sepsis and the other with severe baseline chronic obstructive pulmonary disease from COVID-19 pneumonia.
Conclusions: Our preliminary results show that LD-RT was a feasible and well-tolerated treatment, with potential clinical improvement. Randomized trials are needed to establish whether LD-RT improves severe pneumonia.
Copyright © 2020 Elsevier Inc. All rights reserved.
Figures




References
-
- Rodel F., Keilholz L., Herrmann M., et al. Radiobiological mechanisms in inflammatory diseases of low-dose radiation therapy. Int J Radiat Biol. 2007;83:357–366. - PubMed
-
- Schaue D., Jahns J., Hildebrandt G., et al. Radiation treatment of acute inflammation in mice. Int J Radiat Biol. 2005;81:657–667. - PubMed
-
- Arenas M., Gil F., Gironella M., et al. Time course of anti-inflammatory effect of low-dose radiotherapy: Correlation with TGF-beta(1) expression. Radiother Oncol. 2008;86:399–406. - PubMed
Publication types
MeSH terms
LinkOut - more resources
Full Text Sources
Other Literature Sources
Medical
Research Materials