Air in the right ventricle and vein after basilar skull fracture: a case report
- PMID: 33256596
- PMCID: PMC7706251
- DOI: 10.1186/s12245-020-00326-5
Air in the right ventricle and vein after basilar skull fracture: a case report
Abstract
Background: Air in the venous system may cause vascular air embolism, which is a potentially life-threatening event. The presence of air in venous system after basilar skull fracture is very rare.
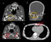
Case presentation: A 77-year-old man fell from a truck bed and suffered head and neck trauma. On hospital arrival, his consciousness was clear and his vital signs were stable. His chief complaint was pain in the back of his head and neck. Head CT showed traumatic subarachnoid hemorrhage in the right frontal area and basilar skull fracture of the occipital bone. Whole body CT showed pneumocephalus and air in the jugular vein and right ventricle. The patient was placed in the supine position in a state of absolute rest to prevent vascular air embolism and was treated conservatively. On hospital day 3, CT was reperformed, revealing disappearance of air in the right ventricle and decreased air in the veins of the head and neck. On hospital day 4, the air in the veins disappeared completely on CT. He did not experience vascular air embolism after increasing of his activity level (e.g., raising his head on hospital day 3 and standing and walking alone on day 5). He was discharged 34 days after admission without sequelae.
Conclusions: Head trauma patients with basilar skull fracture might develop vascular air embolism if physicians fail to detect air in the venous system on hospital arrival. A high degree of suspicion regarding air in venous system or heart is required when patients present with such injuries.
Keywords: Air embolism; Basilar skull fracture; Jugular vein; Right ventricle.
Conflict of interest statement
We certify that the authors declare no ethical or financial conflicts of interest in relation to this manuscript.
Figures

References
LinkOut - more resources
Full Text Sources