Basal Ganglia Dysmorphism in Patients With Aicardi Syndrome
- PMID: 33277420
- PMCID: PMC8055324
- DOI: 10.1212/WNL.0000000000011237
Basal Ganglia Dysmorphism in Patients With Aicardi Syndrome
Abstract
Objective: Aiming to detect associations between neuroradiologic and EEG evaluations and long-term clinical outcome in order to detect possible prognostic factors, a detailed clinical and neuroimaging characterization of 67 cases of Aicardi syndrome (AIC), collected through a multicenter collaboration, was performed.
Methods: Only patients who satisfied Sutton diagnostic criteria were included. Clinical outcome was assessed using gross motor function, manual ability, and eating and drinking ability classification systems. Brain imaging studies and statistical analysis were reviewed.
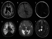
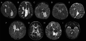
Results: Patients presented early-onset epilepsy, which evolved into drug-resistant seizures. AIC has a variable clinical course, leading to permanent disability in most cases; nevertheless, some cases presented residual motor abilities. Chorioretinal lacunae were present in 86.56% of our patients. Statistical analysis revealed correlations between MRI, EEG at onset, and clinical outcome. On brain imaging, 100% of the patients displayed corpus callosum malformations, 98% cortical dysplasia and nodular heterotopias, and 96.36% intracranial cysts (with similar rates of 2b and 2d). As well as demonstrating that posterior fossa abnormalities (found in 63.63% of cases) should also be considered a common feature in AIC, our study highlighted the presence (in 76.36%) of basal ganglia dysmorphisms (never previously reported).
Conclusion: The AIC neuroradiologic phenotype consists of a complex brain malformation whose presence should be considered central to the diagnosis. Basal ganglia dysmorphisms are frequently associated. Our work underlines the importance of MRI and EEG, both for correct diagnosis and as a factor for predicting long-term outcome.
Classification of evidence: This study provides Class II evidence that for patients with AIC, specific MRI abnormalities and EEG at onset are associated with clinical outcomes.
© 2020 American Academy of Neurology.
Figures




References
-
- Sutton VR, Hopkins BJ, Eble TN, et al. . Facial and physical features of Aicardi syndrome: infants to teenagers. Am J Med Genet A 2005;138A:254–258. - PubMed
-
- Aicardi J, Lefebvre J, Lerique-Koechlin A. A new syndrome: spasms in flexion, callosal, agenesis, ocular abnormalities. Electroencephalogr Clin Neurophysiol 1965;19:609–610.
-
- Donnenfeld AE, Packer RJ, Zackai EH, Chee CM, Sellinger B, Emanuel BS. Clinical, cytogenetic, and pedigree findings in 18 cases of Aicardi syndrome. Am J Med Genet 1989;32:461–467. - PubMed
-
- Aicardi J, Chevrie JJ, Rousselie F. [Spasma-in-flexion syndrome, callosal agenesis, chorioretinal abnormalities.] Arch Fr Pediatr 1969;26:1103–1120. - PubMed
-
- Rosser TL, Acosta MT, Packer RJ. Aicardi syndrome: spectrum of disease and long-term prognosis in 77 females. Pediatr Neurol 2002;27:343–346. - PubMed
Publication types
MeSH terms
LinkOut - more resources
Full Text Sources
Research Materials