Skip to main page content
U.S. flag

An official website of the United States government

Dot gov

The .gov means it’s official.
Federal government websites often end in .gov or .mil. Before sharing sensitive information, make sure you’re on a federal government site.

Https

The site is secure.
The https:// ensures that you are connecting to the official website and that any information you provide is encrypted and transmitted securely.

Access keys NCBI Homepage MyNCBI Homepage Main Content Main Navigation
Review
. 2020 Dec 12;13(12):e239489.
doi: 10.1136/bcr-2020-239489.

Spontaneous pneumomediastinum, pneumothorax and subcutaneous emphysema in COVID-19 pneumonia: a rare case and literature review

Affiliations
Review

Spontaneous pneumomediastinum, pneumothorax and subcutaneous emphysema in COVID-19 pneumonia: a rare case and literature review

Tarig Sami Elhakim et al. BMJ Case Rep. .

Abstract

Spontaneous pneumomediastinum (SPM) and pneumothorax (PNX) unrelated to positive pressure ventilation has been recently reported as an unusual complication in cases of severe COVID-19 pneumonia. The presumed pathophysiological mechanism is diffuse alveolar injury leading to alveolar rupture and air leak. We present a case of COVID-19 pneumonia complicated on day 13 post admission by SPM, PNX and subcutaneous emphysema in a patient with no identifiable risk factors for such complication. The patient received medical treatment for his COVID-19 infection without the use of an invasive or non-invasive ventilator. Moreover, he is a non-smoker with no lung comorbidities and never reported a cough. He was eventually discharged home in stable condition. A comprehensive literature review revealed 15 cases of SPM developing in patients with COVID-19 pneumonia.

Keywords: infectious diseases; pneumomediastinum; pneumonia (infectious disease); respiratory medicine.

PubMed Disclaimer

Conflict of interest statement

Competing interests: None declared.

Figures

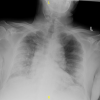
Figure 1
Figure 1
Chest X-ray showing COVID-19 pneumonia during initial presentation to the hospital. The X-ray shows hazy parenchymal opacities in the right mid and lower lung as well as the left lower lobe. Reticular opacities are seen in the medial right lower lobe. There is a concern for widening of the mediastinum, although likely projectional. A CT scan is needed to rule out any mediastinal pathology.
Figure 2
Figure 2
CT scan of the chest showing COVID-19 pneumonia during initial presentation to the hospital. The CT was negative for any mediastinal pathology. Note the extensive bilateral ground-glass infiltrates.
Figure 3
Figure 3
Chest CT showing COVID-19 pneumonia on day 13 post admission. Note the extensive pneumomediastinum with mass effect on the anterior cardiac border. Additionally, there is extensive subcutaneous emphysema extending superiorly to the base of the bilateral neck, anteriorly to the right chest wall and posteriorly to the bilateral scapula. There is mild biapical pneumothorax, right greater than left.
Figure 4
Figure 4
A follow-up chest CT scan 3 weeks after the appearance of the extensive pneumomediastinum. There is interval improvement of the pneumomediastinum as well as complete resolution of the pneumothoraces. Moreover, the subcutaneous emphysema has significantly improved.

References

    1. Lu H, Stratton CW, Tang Y-W. Outbreak of pneumonia of unknown etiology in Wuhan, China: the mystery and the miracle. J Med Virol 2020;92:401–2. 10.1002/jmv.25678 - DOI - PMC - PubMed
    1. Huang C, Wang Y, Li X, et al. . Clinical features of patients infected with 2019 novel coronavirus in Wuhan, China. Lancet 2020;395:497–506. 10.1016/S0140-6736(20)30183-5 - DOI - PMC - PubMed
    1. Hui DS, I Azhar E, Madani TA, et al. . The continuing 2019-nCoV epidemic threat of novel coronaviruses to global health - The latest 2019 novel coronavirus outbreak in Wuhan, China. Int J Infect Dis 2020;91:264–6. 10.1016/j.ijid.2020.01.009 - DOI - PMC - PubMed
    1. WHO pneumonia of unknown cause – China. Available: https://www.who.int/csr/don/05-january-2020-pneumonia-of-unkown-cause-ch...
    1. Almeida JD, Berry DM, Cunningham CH, et al. . Virology: coronaviruses. Nature 1968;220:650.