Missing and decayed teeth, oral hygiene and dental staining in relation to esophageal cancer risk: ESCCAPE case-control study in Kilimanjaro, Tanzania
- PMID: 33320959
- PMCID: PMC8048942
- DOI: 10.1002/ijc.33433
Missing and decayed teeth, oral hygiene and dental staining in relation to esophageal cancer risk: ESCCAPE case-control study in Kilimanjaro, Tanzania
Abstract
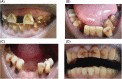
In the African esophageal squamous cell carcinoma (ESCC) corridor, recent work from Kenya found increased ESCC risk associated with poor oral health, including an ill-understood association with dental fluorosis. We examined these associations in a Tanzanian study, which included examination of potential biases influencing the latter association. This age and sex frequency-matched case-control study included 310 ESCC cases and 313 hospital visitor/patient controls. Exposures included self-reported oral hygiene and nondental observer assessed decayed+missing+filled tooth count (DMFT index) and the Thylstrup-Fejerskov dental fluorosis index (TFI). Blind to this nondental observer TFI, a dentist independently assessed fluorosis on photographs of 75 participants. Odds ratios (ORs) are adjusted for demographic factors, alcohol and tobacco. ESCC risk was associated with using a chewed stick to brush teeth (OR 2.3 [95% CI: 1.3-4.1]), using charcoal to whiten teeth (OR 2.13 [95% CI: 1.3, 4.1]) and linearly with the DMFT index (OR 3.3 95% CI: [1.8, 6.0] for ≥10 vs 0). Nondental observer-assessed fluorosis was strongly associated with ESCC risk (OR 13.5 [95% CI: 5.7-31.9] for TFI 5+ v 0). However, the professional dentist's assessment indicated that only 43% (10/23) of participants assessed as TFI 5+ actually had fluorosis. In summary, using oral charcoal, brushing with a chewed stick and missing/decayed teeth may be risk factors for ESCC in Tanzania, for which dose-response and mechanistic research is needed. Links of ESCC with "dental fluorosis" suffered from severe exposure misclassification, rendering it impossible to disentangle any effects of fluorosis, extrinsic staining or reverse causality.
Keywords: Tanzania; esophageal cancer; fluorosis; oral health.
© 2020 The Authors. International Journal of Cancer published by John Wiley & Sons Ltd on behalf of UICC.
Conflict of interest statement
The authors declare no completing interests. Where authors are identified as personnel of the International Agency for Research on Cancer/World Health Organization, the authors alone are responsible for the views expressed in this article, and they do not necessarily represent the decisions, policy or views of the International Agency for Research on Cancer/World Health Organization.
Figures



References
-
- Bray F, Ferlay J, Soerjomataram I, Siegel RL, Torre LA, Jemal A. Global cancer statistics 2018: GLOBOCAN estimates of incidence and mortality worldwide for 36 cancers in 185 countries. CA Cancer J Clin. 2018;68(6):394‐424. - PubMed
Grants and funding
LinkOut - more resources
Full Text Sources