Autoimmune Gastritis Treated With Mycophenolate Mofetil
- PMID: 33324715
- PMCID: PMC7725257
- DOI: 10.14309/crj.0000000000000496
Autoimmune Gastritis Treated With Mycophenolate Mofetil
Abstract
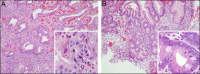
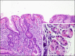
Autoimmune gastritis is an inflammatory condition of the gastric mucosa. We report a 64-year-old woman with chronic abdominal pain of 3-year duration. Endoscopic and histologic evaluation revealed autoimmune pangastritis. The gastritis was partially responsive to steroids but attempts to taper failed, and the patient had no relief from mercaptopurine, adalimumab, budesonide, or hydroxychloroquine. The patient was treated with mycophenolate mofetil which resulted in resolution of symptoms. Endoscopic and histologic examination after mycophenolate therapy showed near complete resolution of active inflammation. To the best of our knowledge, this is the first report of symptomatic autoimmune gastritis successfully treated by mycophenolate mofetil.
© 2020 The Author(s). Published by Wolters Kluwer Health, Inc. on behalf of The American College of Gastroenterology.
Figures





References
-
- Park JY, Lam-Himlin D, Vemulapalli R. Review of autoimmune metaplastic atrophic gastritis. Gastrointest Endosc 2013;77:284–92. - PubMed
-
- Miceli E, Lenti MV, Padula D, et al. Common features of patients with autoimmune atrophic gastritis. Clin Gastroenterol Hepatol 2012;10:812–4. - PubMed
-
- Jevremovic D, Torbenson M, Murray JA, Burgart LJ, Abraham SC. Atrophic autoimmune pangastritis: A distinctive form of antral and fundic gastritis associated with systemic autoimmune disease. Am J Surg Pathol 2006;30:1412–9. - PubMed
-
- Pogoriler J, Kamin D, Goldsmith JD. Pediatric non-Helicobacter pylori atrophic gastritis: A case series. Am J Surg Pathol 2015;39:786–92. - PubMed
-
- Kulnigg-Dabsch S, Resch M, Oberhuber G, Klinglmueller F, Gasche A, Gasche C. Iron deficiency workup reveals high incidence of autoimmune gastritis with parietal cell antibody as reliable screening test. Semin Hematol 2018;55:256–61. - PubMed
Publication types
LinkOut - more resources
Full Text Sources