Skip to main page content
U.S. flag

An official website of the United States government

Dot gov

The .gov means it’s official.
Federal government websites often end in .gov or .mil. Before sharing sensitive information, make sure you’re on a federal government site.

Https

The site is secure.
The https:// ensures that you are connecting to the official website and that any information you provide is encrypted and transmitted securely.

Access keys NCBI Homepage MyNCBI Homepage Main Content Main Navigation
Case Reports
. 2020;11(4):196-201.

Multidrug-Resistant Bacterial Sepsis and Inferior Vena Cava Thrombosis in Liver Transplant Recipients Used Synthetic Vascular Graft: Three Fatal Cases

Affiliations
Case Reports

Multidrug-Resistant Bacterial Sepsis and Inferior Vena Cava Thrombosis in Liver Transplant Recipients Used Synthetic Vascular Graft: Three Fatal Cases

A Kose et al. Int J Organ Transplant Med. 2020.

Abstract

Synthetic vascular grafts are commonly used in liver transplantation. Thrombosis is a possible complication of using expanded polytetrafluoroethylene (e-PTFE) grafts. Herein, we report on 3 cases of liver recipients who died of intermittent sepsis episodes emerged concurrently with the thrombosis in synthetic vascular grafts and inferior vena cava (IVC) vein. Right lobe liver transplantation from living donors was performed for 3 patients by using e-PTFE grafts between the liver and IVC. Although heparin had been administered, thrombosis was developed in vascular graft and IVC extending to the right atrium; it was developed within 1-4 months of transplantations. All 3 patients suffered from recurrent sepsis episodes (4, 5, and 6 attacks for each patient) by different multidrug-resistant bacterial species. Treatment attempts including thrombolytic and antimicrobial drugs made, and surgical, endoscopic and radiological interventions could not resolve the clinical situation. The patients died of septic complications. We concluded that severe recurrent sepsis attacks may develop in liver transplant recipients when IVC and synthetic vascular graft were thrombosed. Removing the e-PTFE graft may be benefit for the treatment.

Keywords: Liver transplantation; Sepsis; Synthetic graft; Venous thrombosis.

PubMed Disclaimer

Figures

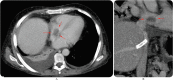
Figure 1
Figure 1
Coronal MIP CT image showing hypodense thrombus material (arrows) extending from the IVC to atrio-caval junction and air density (arrowhead) in the thrombus are observed (A). Thrombus material (arrowheads) extending through PTFE graft (arrows) to IVC seen on the volume-rendered CT image (B)
Figure 2
Figure 2
Hypodense thrombus material (arrowheads) in PTFE extension graft (arrows) and its extension into IVC and atrio-caval junction seen in the oblique coronal MPR MSCT images (A and B)
Figure 3
Figure 3
Hypodense thrombus (arrows) seen in the right atrium in the axial (A) and coronal MPR (B) CT images

References

    1. Akbulut S, Yilmaz S. Liver transplantation in turkey: Historical review and future perspectives. Transplant Rev (Orlando) 2015;29:161–7. - PubMed
    1. Kim WR, Lake JR, Smith JM, et al. Optn/srtr 2016 annual data report: Liver. Am J Transplant. 2018;18 Suppl 1:172–253. - PubMed
    1. Sultan AM, Shehta A, Salah T, et al. Spontaneous migration of thrombosed synthetic vascular graft to the duodenum after living-donor liver transplantation: A case-report. Int J Surg Case Rep. 2018;45:42–4. - PMC - PubMed
    1. Linares L, Cervera C, Hoyo I, et al. Klebsiella pneumoniae infection in solid organ transplant recipients: Epidemiology and antibiotic resistance. Transplant Proc. 2010;42:2941–3. - PubMed
    1. Rhodes A, Evans LE, Alhazzani W, et al. Surviving sepsis campaign: International guidelines for management of sepsis and septic shock: 2016. Pediatr Crit Care Med. 2017;43:304–77. - PubMed

Publication types

LinkOut - more resources