Coronavirus 229E with Rhinovirus co-infection causing severe acute respiratory distress syndrome with thrombotic microangiopathy and death during Covid-19 pandemic: lessons to be learnt
- PMID: 33344304
- PMCID: PMC7703215
- DOI: 10.4322/acr.2020.194
Coronavirus 229E with Rhinovirus co-infection causing severe acute respiratory distress syndrome with thrombotic microangiopathy and death during Covid-19 pandemic: lessons to be learnt
Abstract
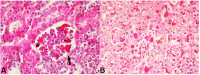
We report on a 3-month old infant male who had a seven-days history of fever and rhinorrhea associated with wheezing prior to his death, during the Covid-19 pandemic. Viral testing for Covid-19 (SARS-CoV-2) was negative but was positive for Coronavirus 229E and RP Human Rhinovirus. The pulmonary histological examination showed diffuse alveolar damage along with thrombotic microangiopathy affecting alveolar capillaries. Also, thrombotic microangiopathy was evident in the heart, lungs, brain, kidneys and liver. Thrombotic microangiopathy is a major pathologic finding in Acute Respiratory Distress Syndrome and in the multiorgan failure. This is the first report that illustrates thrombotic microangiopathy occurring in lung, heart, liver, kidney and brain in Acute Respiratory Distress Syndrome with Coronavirus 229E with Rhinovirus co-infection. The clinical presentation and pathological findings in our case share common features with Covid-19.
Keywords: Coronavirus infections; Respiratory Distress Syndrome, Adult; Rhinovirus; SARS virus; Thrombotic Microangiopathies.
Copyright: © 2020 The Authors.
Conflict of interest statement
Conflict of interest: None
Figures



References
Publication types
LinkOut - more resources
Full Text Sources
Miscellaneous