The first commercial use of the Valiant Navion stent graft system for endovascular repair of a descending thoracic aortic aneurysm
- PMID: 33345716
- PMCID: PMC8573344
- DOI: 10.1177/1708538120981127
The first commercial use of the Valiant Navion stent graft system for endovascular repair of a descending thoracic aortic aneurysm
Abstract
Objectives: Thoracic endovascular aortic repair (TEVAR) is the standard of care for descending thoracic aortic aneurysms (DTAA), and newer generation stent grafts have significant design improvements compared to earlier generation devices.
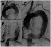
Methods: We report the first commercial use of the Medtronic Valiant Navion stent graft for treatment of an 85-year-old woman with a 5.8 cm DTAA and a highly tortuous thoracic aorta.
Results: A percutaneous TEVAR was performed using a two-piece combination of the Valiant Navion FreeFlo and CoveredSeal stent graft configurations for zones 2-5 coverage. The devices were successfully delievered through highly tortuous anatomy and deployed, excluding the entire length of the aneurysm with precise landing, excellent apposition and no evidence of endoleak. The patient tolerated the procedure well and has had no stent graft-related complications through one-year follow-up.
Conclusions: Design enhancements such as a lower profile delivery system, better conformability, and a shorter tapered tip are some of the improvements to this third-generation TEVAR device. Coupled with the multiple configuration options available, this gives physicians a better tool to treat thoracic aortic pathologies in patients with challenging anatomy. The early results are encouraging, and evaluation of long-term outcomes will continue.
Keywords: Thoracic endovascular aortic repair; descending thoracic aortic aneurysm; stent graft.
Conflict of interest statement
Figures


References
-
- Glade GJ, Vahl AC, Wisselink W, et al. Mid-term survival and costs of treatment of patients with descending thoracic aortic aneurysms; endovascular vs. open repair: a case-control study. Eur J Vasc Endovasc Surg 2005; 29: 28–34. - PubMed
-
- Fairman RM, Tuchek JM, Lee WA, et al. Pivotal results for the Medtronic Valiant Thoracic Stent Graft System in the VALOR II trial. J Vasc Surg 2012; 56: 1222–1231.e1. - PubMed
-
- Riambau V, Bockler D, Brunkwall J, et al. Editor’s choice – management of descending thoracic aorta diseases: clinical practice guidelines of the European Society for Vascular Surgery (ESVS). Eur J Vasc Endovasc Surg 2017; 53: 4–52. - PubMed
-
- Azizzadeh A, Desai N, Arko FR, et al. Pivotal results for the Valiant Navion stent graft system in the Valiant EVO global clinical trial. J Vasc Surg 2019; 70: 1399–1408. - PubMed
-
- Agha RA, Fowler AJ, Saeta A, et al. The SCARE statement: consensus-based surgical case report guidelines. Int J Surg 2016; 34: 180–186. - PubMed
Publication types
MeSH terms
LinkOut - more resources
Full Text Sources