Ten-year-old boy with atypical COVID-19 symptom presentation: A case report
- PMID: 33362924
- PMCID: PMC7753279
- DOI: 10.1002/ccr3.3521
Ten-year-old boy with atypical COVID-19 symptom presentation: A case report
Abstract
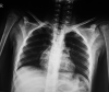
Since reactive arthritis (ReA) and urticaria could be seen in this age group along with atypical COVID-19 symptom presentation, pediatrics should be familiar with urticarial rashes and ReA in COVID-19 to enable early diagnoses of infected individuals.
© 2020 The Authors. Clinical Case Reports published by John Wiley & Sons Ltd.
Conflict of interest statement
No conflicts of interest.
Figures




References
-
- Kliegman RM, Behrman RE, Jenson HB, Stanton BM. Nelson Textbook of Pediatrics e‐book. Elsevier Health Sciences; 2007.
Publication types
LinkOut - more resources
Full Text Sources