What Open-Lung Biopsy Teaches Us about ARDS in COVID-19 Patients: Mechanisms, Pathology, and Therapeutic Implications
- PMID: 33376717
- PMCID: PMC7744583
- DOI: 10.1155/2020/2909673
What Open-Lung Biopsy Teaches Us about ARDS in COVID-19 Patients: Mechanisms, Pathology, and Therapeutic Implications
Abstract
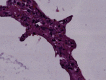
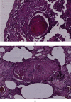
Difficulties have risen while managing Acute Respiratory Distress Syndrome (ARDS) caused by COVID-19, although it meets the Berlin definition. Severe hypoxemia with near-normal compliance was noted along with coagulopathy. Understanding the precise pathophysiology of this atypical ARDS will assist researchers and physicians in improving their therapeutic approach. Previous work is limited to postmortem studies, while our report addresses patients under protective lung mechanical ventilation. An open-lung minithoracotomy was performed in 3 patients who developed ARDS related to COVID-19 and were admitted to the intensive care unit to carry out a pathological and microbiological analysis on lung tissue biopsy. Diffused alveolar damage with hyaline membranes was found, as well as plurifocal fibrin microthrombi and vascular congestion in all patients' specimens. Microbiological cultures were negative, whereas qualitative Reversed Transcriptase Polymerase Chain Reaction (RT-PCR) detected SARS-CoV-2 in the pulmonary parenchyma and pleural fluid in two patients. COVID-19 causes progressive ARDS with onset of severe hypoxemia, underlying a dual mechanism: shunt effect through diffused alveolar damage and dead space effect through thrombotic injuries in microvascular beds. It seems reasonable to manage this ventilation-perfusion ratio mismatch using a high dose of anticoagulant combined with glucocorticoids.
Copyright © 2020 Yassamine Abourida et al.
Conflict of interest statement
The authors declare no competing interest.
Figures










References
-
- Ashbaugh D. G., Bigelow D. B., Levine B. E. Acute respiratory distress in adults. The Lancet. 1967;290(7511):319–323. - PubMed
MeSH terms
Substances
LinkOut - more resources
Full Text Sources
Medical
Miscellaneous