Aspiration technique for percutaneous endovascular retrieval of contraceptive device embolized to the pulmonary vasculature
- PMID: 33384758
- PMCID: PMC7772520
- DOI: 10.1016/j.radcr.2020.12.049
Aspiration technique for percutaneous endovascular retrieval of contraceptive device embolized to the pulmonary vasculature
Erratum in
-
Erratum regarding missing patient consent statements in previously published articles.Radiol Case Rep. 2023 Jan 21;18(3):1381-1382. doi: 10.1016/j.radcr.2022.10.046. eCollection 2023 Mar. Radiol Case Rep. 2023. PMID: 36818998 Free PMC article.
Abstract
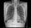
Contraceptive implant migration into the pulmonary circulation is an uncommon, but potentially serious complication. We describe an "aspiration" technique for percutaneous retrieval of a contraceptive implant from a subsegmental pulmonary artery, using a Penumbra Neuron MAX 088 guiding catheter and a Merit Medical VacLok Vacuum Pressure Syringe, as an alternative to the previously described snare technique. Our patient had an uneventful recovery and was discharged home on the same day.
Keywords: Endovascular; Foreign body; Interventional Radiology.
© 2020 Published by Elsevier Inc. on behalf of University of Washington.
Figures





References
-
- Ismail H., Mansour D., Singh M. Migration of implanon. J Fam Plann Reprod Health Care. 2006;32:157–159. - PubMed
-
- Highlights of Prescribing Information – NEXPLANON® (etonogestrel implant). Available at https://www.merck.com/product/usa/pi_circulars/n/nexplanon/nexplanon_pi.pdf.
-
- Gao G.T., Binder W. Embolization of a contraceptive implant into the pulmonary vasculature in an adolescent female. Am J Emerg Med. 2018;36 1122.e1–1122.e2. - PubMed
-
- Patel A., Shetty D., Hollings N., Dodds N. Contraceptive implant embolism into the pulmonary artery. Ann Thorac Surg. 2014;97:1452. - PubMed
-
- D'Journo X.B., Vincent Vidal V., Agostini A. Intravascular pulmonary migration of a subdermal contraceptive implant. Ann Thorac Surg. 2015;99:1828. - PubMed
Publication types
LinkOut - more resources
Full Text Sources
Other Literature Sources