Fracture of the scapular neck combined with rotator cuff tear: A case report
- PMID: 33392330
- PMCID: PMC7760457
- DOI: 10.12998/wjcc.v8.i24.6450
Fracture of the scapular neck combined with rotator cuff tear: A case report
Abstract
Background: Scapular fracture has a low incidence rate, accounting for 0.4%-0.9% of all fractures, and scapular neck fractures are extremely rare, comprising approximately 7%-25% of all scapular fractures. Scapular neck fractures are often studied as case reports mostly accompanied by other injuries, thus leading to confusion. All previous cases of scapular neck fractures are not associated with rotator cuff injuries.
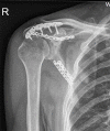
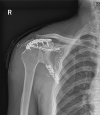
Case summary: A 62-year-old man was admitted to our emergency department 6 h after his right shoulder and back were impacted by heavy objects. The patient presented chest tightness and shortness of breath. Chest computed tomography (CT) showed pneumohemothorax, multiple rib fractures, and right scapula fractures. Three-dimensional CT reconstruction of the right shoulder joint showed a trans-spinous scapular neck fracture with a glenohumeral joint dislocation. Rotator cuff injury was suspected because the patient had a glenohumeral joint dislocation and was then confirmed by shoulder magnetic resonance imaging. A staged surgery was performed, including open reduction and internal fixation of the right scapula fracture and repairing of rotator cuff by right shoulder arthroscopy. At the 5-mo follow-up, the fracture line was blurred and the shoulder joint function was good.
Conclusion: Fracture of the scapular neck combined with rotator cuff tear is rare and the rotator cuff injury should not be ignored in clinical work. Stable internal fixation combined with secondary arthroscopic repair of rotator cuff tear can achieve good results.
Keywords: Case report; Glenohumeral dislocation; Rotator cuff tear; Scapular fractures; Scapular neck fractures.
©The Author(s) 2020. Published by Baishideng Publishing Group Inc. All rights reserved.
Conflict of interest statement
Conflict-of-interest statement: The authors declare that there is no conflict of interest to disclose.
Figures
References
-
- Rowe CR. Fractures of the scapula. Surg Clin North Am. 1963;43:1565–1571. - PubMed
-
- Ada JR, Miller ME. Scapular fractures. Analysis of 113 cases. Clin Orthop Relat Res. 1991;(269):174–180. - PubMed
-
- Bartoníček J, Tuček M, Frič V, Obruba P. Fractures of the scapular neck: diagnosis, classifications and treatment. Int Orthop. 2014;38:2163–2173. - PubMed
-
- Goss TP. Fractures of the glenoid neck. J Shoulder Elbow Surg. 1994;3:42–52. - PubMed
-
- de Beer JF, Berghs BM, van Rooyen KS, du Toit DF. Displaced scapular neck fracture: a case report. J Shoulder Elbow Surg. 2004;13:123–125. - PubMed
Publication types
LinkOut - more resources
Full Text Sources
