The RSNA International COVID-19 Open Radiology Database (RICORD)
- PMID: 33399506
- PMCID: PMC7993245
- DOI: 10.1148/radiol.2021203957
The RSNA International COVID-19 Open Radiology Database (RICORD)
Abstract
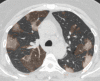
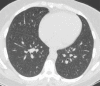
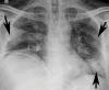
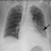
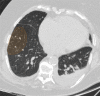
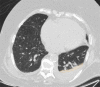
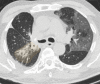
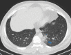
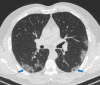
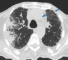
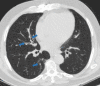
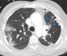
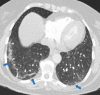
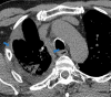
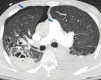
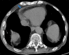
The coronavirus disease 2019 (COVID-19) pandemic is a global health care emergency. Although reverse-transcription polymerase chain reaction testing is the reference standard method to identify patients with COVID-19 infection, chest radiography and CT play a vital role in the detection and management of these patients. Prediction models for COVID-19 imaging are rapidly being developed to support medical decision making. However, inadequate availability of a diverse annotated data set has limited the performance and generalizability of existing models. To address this unmet need, the RSNA and Society of Thoracic Radiology collaborated to develop the RSNA International COVID-19 Open Radiology Database (RICORD). This database is the first multi-institutional, multinational, expert-annotated COVID-19 imaging data set. It is made freely available to the machine learning community as a research and educational resource for COVID-19 chest imaging. Pixel-level volumetric segmentation with clinical annotations was performed by thoracic radiology subspecialists for all COVID-19-positive thoracic CT scans. The labeling schema was coordinated with other international consensus panels and COVID-19 data annotation efforts, the European Society of Medical Imaging Informatics, the American College of Radiology, and the American Association of Physicists in Medicine. Study-level COVID-19 classification labels for chest radiographs were annotated by three radiologists, with majority vote adjudication by board-certified radiologists. RICORD consists of 240 thoracic CT scans and 1000 chest radiographs contributed from four international sites. It is anticipated that RICORD will ideally lead to prediction models that can demonstrate sustained performance across populations and health care systems.
© RSNA, 2021 See also the editorial by Bai and Thomasian in this issue.
Figures
 
              
              
              
              
                
                
                 
              
              
              
              
                
                
                 
              
              
              
              
                
                
                 
              
              
              
              
                
                
                 
              
              
              
              
                
                
                 
              
              
              
              
                
                
                 
              
              
              
              
                
                
                 
              
              
              
              
                
                
                 
              
              
              
              
                
                
                 
              
              
              
              
                
                
                 
              
              
              
              
                
                
                 
              
              
              
              
                
                
                 
              
              
              
              
                
                
                 
              
              
              
              
                
                
                 
              
              
              
              
                
                
                 
              
              
              
              
                
                
                 
              
              
              
              
                
                
                 
              
              
              
              
                
                
                 
              
              
              
              
                
                
                 
              
              
              
              
                
                
                 
              
              
              
              
                
                
                 
              
              
              
              
                
                
                 
              
              
              
              
                
                
                 
              
              
              
              
                
                
                 
              
              
              
              
                
                
                 
              
              
              
              
                
                
                 
              
              
              
              
                
                
                 
              
              
              
              
                
                
                 
              
              
              
              
                
                
                Comment in
- 
  
  RICORD: A Precedent for Open AI in COVID-19 Image Analytics.Radiology. 2021 Apr;299(1):E219-E220. doi: 10.1148/radiol.2020204214. Epub 2021 Jan 5. Radiology. 2021. PMID: 33404359 Free PMC article. No abstract available.
References
- 
    - Wiersinga WJ, Rhodes A, Cheng AC, Peacock SJ, Prescott HC. Pathophysiology, Transmission, Diagnosis, and Treatment of Coronavirus Disease 2019 (COVID-19): A Review. JAMA 2020;324(8):782–793. - PubMed
 
- 
    - Nadkarni GN. An ounce of public health for COVID-19? Sci Transl Med 2020;12(541):eabb5675.
 
MeSH terms
LinkOut - more resources
- Full Text Sources
- Other Literature Sources
- Medical
 
        