Coronary artery vasculitis: a review of current literature
- PMID: 33407141
- PMCID: PMC7788693
- DOI: 10.1186/s12872-020-01813-6
Coronary artery vasculitis: a review of current literature
Abstract
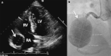
Cardiac vasculitis is recognized as a heterogeneous disease process with a wide spectrum of manifestations including pericarditis, myocarditis, valvular heart disease and less frequently, coronary artery vasculitis (CAV). CAV encompasses an emerging field of diseases which differ from conventional atherosclerotic disease and have a proclivity for the younger population groups. CAV portends multiple complications including the development of coronary artery aneurysms, coronary stenotic lesions, and thrombosis, all which may result in acute coronary syndromes. There are several aetiologies for CAV; with Kawasaki's disease, Takayasu's arteritis, Polyarteritis Nodosa, and Giant-Cell Arteritis more frequently described clinically, and in literature. There is a growing role for multi-modality imaging in assisting the diagnostic process; including transthoracic echocardiography, cardiac magnetic resonance imaging, computed tomography coronary angiography, fluorodeoxyglucose-positron emission tomography and conventional coronary angiogram with intravascular ultrasound. Whilst the treatment paradigms fundamentally vary between different aetiologies, there are overlaps with pharmacological regimes in immunosuppressive agents and anti-platelet therapies. Interventional and surgical management are is a consideration in select populations groups, within a multi-disciplinary context. Further large-scale studies are required to better appropriately outline management protocols in this niche population.
Keywords: Coronary artery vasculitis; Giant cell arteritis; Kawasaki’s disease; Polyarteritis nodosa; Takayasu’s arteritis.
Conflict of interest statement
The authors declare that they have no competing interests.
Figures


References
-
- Koster MJ, Warrington KJ. Vasculitis of the coronary arteries. Am Coll Cardiol. 2019. https://www.acc.org/latest-in-cardiology/articles/2019/03/13/06/50/vascu....
-
- Stvrtinova V. Vasculitides of the coronary arteries. Bratisl Lek Listy. 1995;96(10):544–551. - PubMed
-
- Kinno M, Mathenge N, Patel M, Niazi O, Lichtenstein SJ, Tariq U, et al. Isolated coronary vasculitis as a cause of acute myocardial infarction: a diagnostic dilemma. J Am Coll Cardiol. 2016;67(13 Supplement):1156. doi: 10.1016/S0735-1097(16)31157-3. - DOI
Publication types
MeSH terms
LinkOut - more resources
Full Text Sources
Other Literature Sources
Medical